Atypical COVID-19 presentation in a patient undergoing staged thoracoabdominal aortic aneurysm repair
- PMID: 32426560
- PMCID: PMC7229720
- DOI: 10.1016/j.jvscit.2020.05.001
Atypical COVID-19 presentation in a patient undergoing staged thoracoabdominal aortic aneurysm repair
Abstract
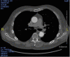
This report outlines a case of atypical presentation of COVID-19 viral infection. A two-stage repair of a Crawford type III thoracoabdominal aortic aneurysm was planned for a 65-year-old man. The first stage, thoracic endovascular aortic repair in the descending aorta, was uneventful, and the patient was discharged on postoperative day 2. He was readmitted 10 days later, presenting with diarrhea, lower limb pain, and weakness after walking 25 meters. The patient displayed no fever or upper respiratory tract signs or symptoms. Findings on computed tomography and magnetic resonance of the spinal cord were normal. The patient tested positive for COVID-19 virus and later during hospitalization developed more typical fever and respiratory symptoms that were managed medically.
Keywords: COVID-19; Thoracoabdominal.
© 2020 The Authors.
Figures



References
-
- Dias N.V., Sonesson B., Kristmundsson T., Holm H., Resch T. Short-term outcome of spinal cord ischemia after endovascular repair of thoracoabdominal aortic aneurysms. Eur J Vasc Endovasc Surg. 2015;49:403–409. - PubMed
-
- Patel S.D., Constantinou J., Hamilton H., Davis M., Ivancev K. A shaggy aorta is associated with mesenteric embolization in patients undergoing fenestrated endografts to treat paravisceral aortic aneurysms. Eur J Vasc Endovasc Surg. 2014;47:374–379. - PubMed
-
- O’Callaghan A., Mastracci T., Eagleton M. Staged endovascular repair of thoracoabdominal aortic aneurysms limits incidence and severity of spinal cord ischemia. J Vasc Surg. 2015;61:347–354. - PubMed
-
- Etz C.D., Zoli S., Mueller C.S., Bodian C.A., Di Luozzo G., Lazala R. Staged repair significantly reduces paraplegia rate after extensive thoracoabdominal aortic aneurysm repair. J Thorac Cardiovasc Surg. 2010;139:1464–1472. - PubMed
Publication types
LinkOut - more resources
Full Text Sources