Stroke in patients with SARS-CoV-2 infection: case series
- PMID: 32436105
- PMCID: PMC7238403
- DOI: 10.1007/s00415-020-09885-2
Stroke in patients with SARS-CoV-2 infection: case series
Abstract
Background: Italy is one of the most affected countries by the coronavirus disease 2019 (COVID-19). The responsible pathogen is named severe acute respiratory syndrome coronavirus (SARS-CoV-2). The clinical spectrum ranges from asymptomatic infection to severe pneumonia, leading to intensive care unit admission. Evidence of cerebrovascular complications associated with SARS-CoV-2 is limited. We herein report six patients who developed acute stroke during COVID-19 infection.
Methods: A retrospective case series of patients diagnosed with COVID-19 using reverse-transcriptase polymerase chain reaction (RT-PCR) on nasopharyngeal swabs, who developed clinical and neuroimaging evidence of acute stroke during SARS-CoV-2 infection.
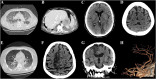
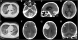
Results: Six patients were identified (5 men); median age was 69 years (range 57-82). Stroke subtypes were ischemic (4, 67%) and hemorrhagic (2, 33%). All patients but one had pre-existing vascular risk factors. One patient developed encephalopathy prior to stroke, characterized by focal seizures and behavioral abnormalities. COVID-19-related pneumonia was severe (i.e., requiring critical care support) in 5/6 cases (83%). Liver enzyme alteration and lactate dehydrogenase (LDH) elevation were registered in all cases. Four patients (67%) manifested acute kidney failure prior to stroke. Four patients (67%) had abnormal coagulation tests. The outcome was poor in the majority of the patients: five died (83%) and the remaining one (17%) remained severely neurologically affected (mRS: 4).
Conclusions: Both ischemic and hemorrhagic stroke can complicate the course of COVI-19 infection. In our series, stroke developed mostly in patients with severe pneumonia and multiorgan failure, liver enzymes and LDH were markedly increased in all cases, and the outcome was poor.
Keywords: Brain hemorrhage; COVID-19; Cerebrovascular disease; Coronavirus; Encephalitis; Neurological complications.
Conflict of interest statement
The authors declare that they have no conflicts of interest.
Figures



Comment in
-
Comment on "Stroke in patients with SARS‑CoV‑2 infection: case series" from a London hospital experience.J Neurol. 2021 Feb;268(2):424-430. doi: 10.1007/s00415-020-10105-0. Epub 2020 Jul 25. J Neurol. 2021. PMID: 32712866 Free PMC article. No abstract available.
References
-
- COVID-19 Map (2020) In: Johns Hopkins coronavirus resource center. https://coronavirus.jhu.edu/map.html. Accessed 6 Apr 2020
Publication types
MeSH terms
LinkOut - more resources
Full Text Sources
Medical
Miscellaneous