Incidentally discovered COVID-19 in low-suspicion patients-a threat to front line health care workers
- PMID: 32449100
- PMCID: PMC7246084
- DOI: 10.1007/s10140-020-01792-3
Incidentally discovered COVID-19 in low-suspicion patients-a threat to front line health care workers
Abstract
Purpose: The COVID-19 pandemic has been responsible for thousands of deaths worldwide. Testing remains at a premium, and criteria for testing remains reserved for those with lower respiratory infection symptoms and/or a known high-risk exposure. The role of imaging in COVID-19 is rapidly evolving; however, few algorithms include imaging criteria, and it is unclear what should be done in low-suspicion patients with positive imaging findings.
Methods: From 03/01/2020-03/20/2020, a retrospective review of all patients with suspected COVID-19 on imaging was performed. Imaging was interpreted by a board-certified, fellowship-trained radiologist. Patients were excluded if COVID-19 infection was suspected at the time of presentation, was the reason for imaging, or if any lower respiratory symptoms were present.
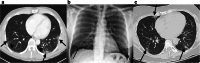
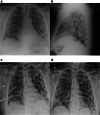
Results: Eight patients with suspected COVID-19 infection on imaging were encountered. Seven patients received testing due to suspicious imaging findings with subsequent lab-confirmed COVID-19. No patients endorsed prior exposure to COVID-19 or recent international travel. COVID-19 was suggested in six patients incidentally on abdominal CT and two on chest radiography. At the time of presentation, no patients were febrile, and seven endorsed gastrointestinal symptoms. Five COVID-19 patients eventually developed respiratory symptoms and required intubation. Two patients expired during the admission.
Conclusions: Patients with imaging findings suspicious for COVID-19 warrant prompt reverse transcription polymerase chain reaction (RT-PCR) testing even in low clinical suspicion cases. The prevalence of disease in the population may be underestimated by the current paradigm of RT-PCR testing with the current clinical criteria of lower respiratory symptoms and exposure risk.
Keywords: COVID-19; Incidental findings.
Conflict of interest statement
The authors declare that they have no conflict of interest.
Figures


References
-
- CDC (2020) Coronavirus disease 2019 (COVID-19). Available from: https://www.cdc.gov/media/dpk/diseases-and-conditions/coronavirus/corona...
-
- WHO (2020) Coronavirus disease 2019 (COVID-19) Situation Report. Available from: https://www.who.int/docs/default-source/coronaviruse/situation-reports/2...
-
- CDC (2020) Coronavirus disease 2019 (COVID-19) testing in U.S
-
- CDC (2020) CDC confirms possible instance of community spread of COVID-19 in U.S. Available from: https://www.cdc.gov/media/releases/2020/s0226-Covid-19-spread.html
MeSH terms
LinkOut - more resources
Full Text Sources
Medical
Miscellaneous