Chest CT-based differential diagnosis of 28 patients with suspected corona virus disease 2019 (COVID-19)
- PMID: 32450727
- PMCID: PMC7446012
- DOI: 10.1259/bjr.20200243
Chest CT-based differential diagnosis of 28 patients with suspected corona virus disease 2019 (COVID-19)
Abstract
Objectives: The chest CT findings that can distinguish patients with corona virus disease 2019 (COVID-19) from those with clinically suspected COVID-19 but subsequently found to be COVID-19 negative have not previously been described in detail. The purpose of this study was to determine the distinctions among patients with COVID-19 by comparing the imaging findings of patients with suspected confirmed COVID-19 and those of patients initially suspected to have COVID-19 who were ultimately negative for the disease.
Methods: 28 isolated suspected in-patients with COVID-19 were enrolled in this retrospective study from January 22, 2020 to February 6, 2020. 12 patients were confirmed to have positive severe acute respiratory syndrome corona virus 2 (SARS-CoV-2) RNA results, and 16 patients had negative results. The thin-section CT imaging findings and clinical and laboratory data of all the patients were evaluated.
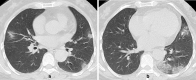
Results: There were no significant differences between the 12 confirmed COVID-19 (SARS-Cov-2-positive) patients and 16 SARS-CoV-2-negative patients in epidemiology and most of the clinical features or laboratory data. The CT images showed that the incidence of pure/mixed ground-glass opacities (GGOs) was not different between COVID-19 and SARS-CoV-2-negative patients [9/12 (75.0%) vs 10/16 (62.5%), p = 0.687], but pure/mixed GGOs in the peripheral were more common in patients with COVID-19 [11/12 (91.7%) vs 6/16 (37.5%), p = 0.006]. There were no significant differences in the number of lesions, bilateral lung involvement, large irregular/patchy opacities, rounded opacities, linear opacities, crazy-paving patterns, halo signs, interlobular septal thickening or air bronchograms.
Conclusions: Although peripheral pure/mixed GGOs on CT may help distinguish patients with COVID-19 from clinically suspected but negative patients, CT cannot replace RT-PCR testing.
Advances in knowledge: Peripheral pure/mixed GGOs on-chest CT findings can be helpful in distinguishing patients with COVID-19 from those with clinically suspected COVID-19 but subsequently found to be COVID-19 negative.
Conflict of interest statement
Figures




References
MeSH terms
Substances
LinkOut - more resources
Full Text Sources
Medical
Miscellaneous