Ultra-Sensitive Ultrasound
- PMID: 32455068
- PMCID: PMC7243075
- DOI: 10.7759/cureus.7751
Ultra-Sensitive Ultrasound
Abstract
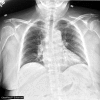
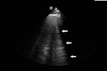
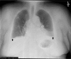
Lung ultrasound (LUS) is a dynamic, real-time, non-invasive bedside tool that offers increased sensitivity over standard imaging modalities in identifying pulmonary edema. This case highlights acute post-operative hypoxia secondary to pulmonary edema that was initially missed by chest radiography (CXR) and chest computed tomography (CT). The edema was diagnosed first on same day by bedside LUS, later seen on next day follow-up CXR and resolved with diuresis. LUS has demonstrated superior accuracy compared to CXR, but scant evidence compares it to CT. This case presentation serves to increase awareness of LUS as a highly sensitive and easy-to-use diagnostic tool for hospital providers in the evaluation of acute hypoxia.
Keywords: diagnostic accuracy; lung ultrasound; point-of-care-ultrasound; pulmonary edema.
Copyright © 2020, Herner et al.
Conflict of interest statement
The authors have declared that no competing interests exist.
Figures



References
-
- Ultrasound assessment for extravascular lung water in patients undergoing hemodialysis: time course for resolution. Noble VE, Murray AF, Capp R, Sylvia-Reardon MH, Steele DJR, Liteplo A. Chest. 2009;135:1433–1439. - PubMed
-
- Lung ultrasound during hemodialysis: the role in the assessment of volume status. Vitturi N, Dugo M, Soattin M, Simoni F, Maresca L, Zagatti R, Maresca MC. Nephrol. 2014;46:169–174. - PubMed
Publication types
LinkOut - more resources
Full Text Sources