Skip to main page content
U.S. flag

An official website of the United States government

Dot gov

The .gov means it’s official.
Federal government websites often end in .gov or .mil. Before sharing sensitive information, make sure you’re on a federal government site.

Https

The site is secure.
The https:// ensures that you are connecting to the official website and that any information you provide is encrypted and transmitted securely.

Access keys NCBI Homepage MyNCBI Homepage Main Content Main Navigation
Case Reports
. 2018;35(1):85-90.
doi: 10.36141/svdld.v35i1.6393. Epub 2018 Apr 28.

Combined pirfenidone, azithromycin and prednisolone in post-H1N1 ARDS pulmonary fibrosis

Affiliations
Case Reports

Combined pirfenidone, azithromycin and prednisolone in post-H1N1 ARDS pulmonary fibrosis

Avinandan Saha et al. Sarcoidosis Vasc Diffuse Lung Dis. 2018.

Abstract

There are no specific data on the management of pulmonary fibrosis post-H1N1 ARDS. We present the cases of three patients who responded positively to treatment with pirfenidone, azithromycin and prednisolone. Three males, aged 40, 45 and 59 years, had H1N1 ARDS requiring mechanical ventilation for two weeks or longer. After weaning off ventilation, they had persistent symptoms and hypoxemia at rest despite receiving prednisolone and home oxygen for at least three weeks following discharge. Computed tomography (CT) of the chest showed fibrosis and traction bronchiectasis. At presentation, they could not perform spirometry. Investigations ruled out infection. Pirfenidone (600 mg daily escalated to maximum tolerable dose of 2.4 gm daily) and azithromycin (500 mg thrice weekly) were added off-label to prednisolone. In one patient pirfenidone was discontinued after three months due to an adverse reaction and azithromycin was continued for nine months. At one year follow-up, all patients had symptomatic improvement, better effort tolerance, regression of opacities and no progression of fibrosis on CT, and improvement in spirometry and six minute walk tests. Pirfenidone and azithromycin added to prednisolone may have led to clinical and radiological improvement. The current experience suggests that this treatment approach to pulmonary fibrosis post-H1N1 ARDS be studied further. (Sarcoidosis Vasc Diffuse Lung Dis 2018; 35: 85-90).

Keywords: ARDS; H1N1; azithromycin; pirfenidone; prednisolone; pulmonary fibrosis.

PubMed Disclaimer

Figures

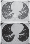
Fig. 1.
Fig. 1.
HRCT chest showing fibrotic, bronchiectatic and consolidative changes at presentation (a), and improvement after one year of therapy (b)
Fig. 2.
Fig. 2.
HRCT chest showing predominantly consolidative and some fibrotic changes with scattered ground glass opacities at presentation (a), and improvement after one year of therapy (b)
Fig. 3.
Fig. 3.
HRCT chest showing fibrosis, honeycombing, traction bronchiectasis and ground glass opacities at presentation (a), and improvement after one year of therapy (b)

References

    1. Mineo G, Ciccarese F, Modolon C, Landini MP, Valentino M, Zompatori M. Post-ARDS pulmonary fibrosis in patients with H1N1 pneumonia: role of follow-up CT. Radiol Med. 2012;117:185–200. - PMC - PubMed
    1. Singh V, Sharma BB, Patel V. Pulmonary sequelae in a patient recovered from swine flu. Lung India. 2012;29:277–9. - PMC - PubMed
    1. Burnham EL, Janssen WJ, Riches DWH, Moss M, Downey GP. The fibroproliferative response in acute respiratory distress syndrome: mechanisms and clinical significance. Eur Respir J. 2014;43:276–85. - PMC - PubMed
    1. American Thoracic Society (ATS), European Respiratory Society (ERS) Idiopathic pulmonary fibrosis: diagnosis and treatment. Am J Respir Crit Care Med. 2000;161:646–64. - PubMed
    1. Biffl WL, Moore FA, Moore EE, Haenel JB, McIntyre RC, Jr, Burch JM. Are corticosteroids salvage therapy for refractory acute respiratory distress syndrome. Am J Surg. 1995;170:591–6. - PubMed

Publication types

LinkOut - more resources