Multiple endocrinological failures as a clinical presentation of a metastatic lung adenocarcinoma
- PMID: 32478672
- PMCID: PMC7219154
- DOI: 10.1530/EDM-20-0024
Multiple endocrinological failures as a clinical presentation of a metastatic lung adenocarcinoma
Abstract
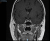
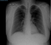
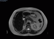
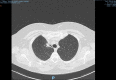
Summary: Multiple endocrine metastases are a rare but possible complication of lung adenocarcinoma (LAC). Pituitary metastasis is a rare condition with poor clinical expression. Diabetes insipidus (DI) is its most common presenting symptom. Here we report an original case of a pituitary stalk (PS) metastasis from LAC presenting as central DI followed by adrenal insufficiency (AI) from bilateral adrenal metastasis, without known evidence of the primary malignancy. A 45-year-old woman whose first clinical manifestations were polyuria and polydipsia was admitted. She was completely asymptomatic with no cough, no weight loss or anorexia. Chest radiography was normal. Brain MRI showed a thick pituitary stalk (PS). DI was confirmed by water restriction test and treated with vasopressin with great clinical results. Explorations for systemic and infectious disease were negative. Few months later, an acute AI led to discovering bilateral adrenal mass on abdominal CT. A suspicious 2.3 cm apical lung nodule was found later. Histopathological adrenal biopsy revealed an LAC. The patient received systemic chemotherapy with hormonal replacement for endocrinological failures by both vasopressin and hydrocortisone. We present this rare case of metastatic PS thickness arising from LAC associated with bilateral adrenal metastasis. Screening of patients with DI and stalk thickness for lung and breast cancer must be considered. Multiple endocrine failures as a diagnostic motive of LAC is a rare but possible circumstance.
Learning points: Adrenal metastasis is a common location in lung adenocarcinoma; however, metastatic involvement of the pituitary stalk remains a rare occurrence, especially as a leading presentation to diagnose lung cancer. The posterior pituitary and the infundibulum are the preferential sites for metastases, as they receive direct arterial blood supply from hypophyseal arteries. Patients diagnosed with diabetes insipidus due to pituitary stalk thickness should be considered as a metastasis, after exclusion of the classical systemic and infectious diseases. The diagnosis of an endocrinological metastatic primary lung adenocarcinoma for patients without respiratory symptoms is often delayed due to a lack of correlation between endocrinological symptoms and lung cancer. The main originality of our case is the concomitant diagnosis of both endocrinological failures, as it was initiated with a diabetes insipidus and followed by an acute adrenal insufficiency.
Keywords: 2020; ACTH; ACTH stimulation; Abdominal pain; Adrenal; Adrenal biopsy*; Adrenal insufficiency; Adult; April; Asthenia; Biopsy; CT scan; Cisplatin; Cortisol; Cortisol (serum); Diabetes insipidus; Diabetes insipidus - neurogenic/central; Female; France; Genetics; Glucocorticoids; Glucose (blood, fasting); Histopathology; Hydrocortisone; Hyponatraemia; Hypotension; Hypothalamus; MRI; Metastatic carcinoma; Nausea; Oncology; PET scan; Pemetrexed; Pituitary; Polydipsia; Polyuria; Potassium; Serum osmolality; Sodium; Tunisia; Unique/unexpected symptoms or presentations of a disease; Urine 24-hour volume; Urine osmolality; Urology; Vasopressin challenge*; Vasopressin*; Water deprivation; White.
Figures





References
-
- Klikovits T, Lohinai Z, Fabian K, Gyulai M, Szilasi M, Varga J, Baranya E, Pipek O, Csabai I, Szállási Z, et al New insights into the impact of primary lung adenocarcinoma location on metastatic sites and sequence: a multicenter cohort study. Lung Cancer 2018. 126 139–148. (10.1016/j.lungcan.2018.11.004) - DOI - PubMed
LinkOut - more resources
Full Text Sources
Miscellaneous