Endothelial dysfunction in nonalcoholic steatohepatitis with low cardiac disease risk
- PMID: 32483260
- PMCID: PMC7264219
- DOI: 10.1038/s41598-020-65835-y
Endothelial dysfunction in nonalcoholic steatohepatitis with low cardiac disease risk
Abstract
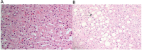
Nonalcoholic fatty liver disease (NAFLD) is the most common liver disease worldwide. We prospectively evaluated endothelial function by assessing flow-mediated dilatation (FMD) of the brachial artery in patients with biopsy-proven NAFLD. This prospective study included 139 patients (50 healthy controls, 47 patients with steatosis and 42 patients with steatohepatitis), all of whom were nondiabetic. Patients with long-standing or uncontrolled hypertension, smokers, and morbidly obese patients were excluded. The medians (ranges) for vascular FMD in the steatohepatitis, steatosis, and control groups were 6% (0-37.5%), 10.8% (0-40%) and 13.6% (0-50%), respectively. The control group had a higher average FMD than the NAFLD group (15.13% vs 10.46%), and statistical significance was reached when the control and steatohepatitis groups were compared (13.6% vs 6%, p = 0.027). Average alanine aminotransferase was significantly higher in the steatohepatitis group than in the steatosis and control groups (54 (U/L) vs 31 (U/L), p = 0.008). Cholesterol levels were similar between all groups. In the multivariate analysis, FMD (OR = 0.85, p = 0.035) and high triglycerides (OR = 76.4, p = 0.009) were significant predictors of steatohepatitis. In the absence of major cardiac risk factors, we demonstrated better endothelial function in healthy controls, evidenced by a higher FMD of the brachial artery than that of patients with steatohepatitis.
Conflict of interest statement
The authors declare no competing interests.
Figures
References
Publication types
MeSH terms
LinkOut - more resources
Full Text Sources
Medical
