Reproductive effects of subchronic exposure to acetamiprid in male rats
- PMID: 32488017
- PMCID: PMC7265391
- DOI: 10.1038/s41598-020-65887-0
Reproductive effects of subchronic exposure to acetamiprid in male rats
Abstract
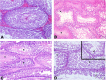
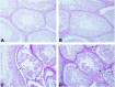
Acetamiprid, a selective agonist of nicotinic acetylcholine recetors, is one of the most widely used neonicotinoids. There is limited data about toxicity of acetamiprid on male reproductive system. Therefore, the study aimed to investigate the reproductive toxic potential of acetamiprid in male rats orally treated with acetamiprid with low (12.5 mg/kg) medium (25 mg/kg) or high dose (35 mg/kg) for 90 days. According to our results, sperm concentration and plasma testosterone levels decreased in dose dependent manner. Gonadotropin-releasing hormone (GnRH), follicle-stimulating hormeone (FSH), luteinizing hormone (LH) levels increased at low and medium dose groups and acetamiprid caused lipid peroxidation and glutathione (GSH) depletion in the testes. Histologic examinations revealed that acetamiprid induced apoptosis in medium and high dose groups and proliferation index dramatically decreased in high dose group. In conclusion, acetamiprid caused toxicity on male reproductive system in the high dose. The mechanism of the toxic effect may be associated with oxidative stress, hormonal disruptions and apoptosis.
Conflict of interest statement
The authors declare no competing interests.
Figures




References
-
- Shengyun, S., Xiaoming, L., Renfeng, W. & Yong, W. Efficacy of Several Insecticides on the Control of Myzus Persicae and Lipaphis Erysimi. Pesticide Science and Administration [accessed: 10 March 2019], http://en.cnki.com.cn/Article_en/CJFDTotal-NYKG200507004.htm (2005).
-
- Zhou Q, Ding Y, Xiao J. Sensitive Determination of Thiamethoxam, Imidacloprid and Acetamiprid in Environmental Water Samples with Solid-Phase Extraction Packed with Multiwalled Carbon Nanotubes Prior to High-Performance Liquid Chromatography. Anal Bioanal Chem. 2006;385:1520–1525. doi: 10.1007/s00216-006-0554-7. - DOI - PubMed
-
- Goulson D. An Overview of the Environmental Risks Posed by Neonicotinoid Insecticides. J Appl Ecol. 2013;50:977–987. doi: 10.1111/1365-2664.12111. - DOI
Publication types
MeSH terms
Substances
LinkOut - more resources
Full Text Sources