Severe and fatal forms of COVID-19 in children
- PMID: 32518045
- PMCID: PMC7269941
- DOI: 10.1016/j.arcped.2020.05.010
Severe and fatal forms of COVID-19 in children
Abstract
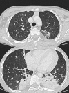
Objectives: The aim of this study was to describe severe forms of novel coronavirus disease 2019 in children, including patient characteristics, clinical, laboratory, and imaging findings, as well as the disease management and outcomes.
Methods: This was a retrospective, single-center, observational study conducted in a pediatric intensive and high-dependency care unit (PICU, HDU) in an urban hospital in Paris. All patients, aged from 1 month to 18 years, admitted for confirmed or highly suspected SARS-CoV-2 were included.
Results: We analyzed the data of 27 children. Comorbidities (n=19, 70%) were mainly neurological (n=7), respiratory, (n=4), or sickle cell disease (n=4). SARS-CoV-2 PCR results were positive in 24 children (nasopharyngeal swabs). The three remaining children had a chest CT scan consistent with COVID-19. Respiratory involvement was observed in 24 patients (89%). Supportive treatments were invasive mechanical ventilation (n=9), catecholamine (n=4), erythropheresis (n=4), renal replacement therapy (n=1), and extracorporeal membrane oxygenation (n=1). Five children died, of whom three were without past medical history.
Conclusion: This study highlighted the large spectrum of clinical presentation and time course of disease progression as well as the non-negligible occurrence of pediatric life-threatening and fatal cases of COVID-19 mostly in patients with comorbidities. Additional laboratory investigations are needed to further analyze the mechanism underlying the variability of SARS-Cov-2 pathogenicity in children.
Keywords: COVID-19; Coronavirus; SARS-Cov-2.
Copyright © 2020 French Society of Pediatrics. Published by Elsevier Masson SAS. All rights reserved.
Figures

Comment in
-
Demographic and Clinical Profile of Mortality Cases of COVID-19 in Children in New Delhi.Indian J Pediatr. 2021 Jun;88(6):610. doi: 10.1007/s12098-021-03687-8. Epub 2021 Mar 10. Indian J Pediatr. 2021. PMID: 33689110 Free PMC article. No abstract available.
References
Publication types
MeSH terms
LinkOut - more resources
Full Text Sources
Miscellaneous