Intracerebral haemorrhage and COVID-19: Clinical characteristics from a case series
- PMID: 32525049
- PMCID: PMC7276127
- DOI: 10.1016/j.bbi.2020.06.005
Intracerebral haemorrhage and COVID-19: Clinical characteristics from a case series
Abstract
- •
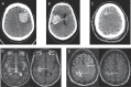
We demonstrate five consecutive cases of predominantly lobar COVID-19-associated intracerebral haemorrhage (ICH).
- •
Patients were typically relatively young with a severe, prolonged inflammatory prodrome.
- •
COVID-19-induced endotheliitis/endotheliopathy may underlie associated cerebrovascular events.
- •
For the clinician, anticoagulation decisions must balance risk of thrombosis with risk of haemorrhage.
Conflict of interest statement
Declaration of Competing Interest The authors declare that they have no known competing financial interests or personal relationships that could have appeared to influence the work reported in this paper.
Figures

References
-
- Klok F.A., Kruip M.J.H.A., van der Meer N.J.M., Arbous M.S., Gommers D., Kant K.M., Kaptein F.H.J., van Paassen J., Stals M.A.M., Huisman M.V., Endeman H. Confirmation of the high cumulative incidence of thrombotic complications in critically ill ICU patients with COVID-19: An updated analysis. Thromb. Res. 2020;191:148–150. doi: 10.1016/j.thromres.2020.04.041. - DOI - PMC - PubMed
-
- Mao, L., Jin, H., Wang, M., Hu, Y., Chen, S., He, Q., et al. Neurologic Manifestations of Hospitalized Patients With Coronavirus Disease 2019 in Wuhan, China. JAMA Neurol [Internet]. 2020 Apr 10 [cited 2020 May 20]; Available from: https://doi.org/10.1001/jamaneurol.2020.1127. - PMC - PubMed
MeSH terms
Substances
LinkOut - more resources
Full Text Sources