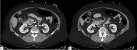
Pancreatic Myeloid Sarcoma
- PMID: 32528784
- PMCID: PMC7279692
- DOI: 10.7759/cureus.8462
Pancreatic Myeloid Sarcoma
Abstract
Myeloid sarcoma is an isolated extramedullary tumor mass consisting of immature myeloid cells. It is characterized by highly variable outcomes and usually disrupts the normal architecture of the normal tissue in which it originates. It may occur de novo or be associated with other hematological malignancies. Clinical presentation of myeloid sarcomas can be highly variable based on the tumor site, size, and extent of tissue involvement. The diagnosis of myeloid sarcoma is challenging and requires a high index of suspicion. Tissue sampling followed by the use of auxiliary studies is essential for diagnosis. Moreover, bone marrow sampling is necessary to exclude morrow involvement. Currently, the recommended therapeutic regimens for myeloid sarcoma are similar to those for acute myeloid leukemia. Much work remains to be accomplished as myeloid sarcomas, if initially missed or misdiagnosed, have poor overall survival rates. Furthermore, prognostic factors for this malignancy remain poorly understood.
Keywords: acute myeloid leukemia; allogenic bone marrow transplant; chemotherapy; extramedullary leukemia; granulocytic sarcoma; myeloid sarcoma; pancreatic sarcoma.
Copyright © 2020, Al-Obaidi et al.
Conflict of interest statement
The authors have declared that no competing interests exist.
Figures


References
-
- Myeloid sarcoma: clinico-pathologic, phenotypic and cytogenetic analysis of 92 adult patients. Pileri SA, Ascani S, Cox MC, et al. Leukemia. 2007;21:340–350. - PubMed
-
- Myeloid sarcoma. Magdy M, Abdel Karim N, Eldessouki I, Gaber O, Rahouma M, Ghareeb M. Oncol Res Treat. 2019;42:224–229. - PubMed
-
- Granulocytic sarcoma: a systematic review. Yilmaz AF, Saydam G, Sahin F, Baran Y. https://www.ncbi.nlm.nih.gov/pubmed/24396704 Am J Blood Res. 2013;18:265–270. - PMC - PubMed
-
- Is there a "gold" standard treatment for patients with isolated myeloid sarcoma? Antic D, Elezovic I, Milic N, et al. Biomed Pharmacother. 2013;67:72–77. - PubMed
-
- Myeloid sarcoma. Shahin OA, Ravandi F. Curr Opin Hematol. 2020;27:88–94. - PubMed
Publication types
LinkOut - more resources
Full Text Sources