Clinical characteristics of COVID-19 in 104 people with SARS-CoV-2 infection on the Diamond Princess cruise ship: a retrospective analysis
- PMID: 32539988
- PMCID: PMC7292609
- DOI: 10.1016/S1473-3099(20)30482-5
Clinical characteristics of COVID-19 in 104 people with SARS-CoV-2 infection on the Diamond Princess cruise ship: a retrospective analysis
Abstract
Background: The ongoing COVID-19 pandemic is a global threat. Identification of markers for symptom onset and disease progression is a pressing issue. We described the clinical features of people infected on board the Diamond Princess cruise ship who were diagnosed with asymptomatic severe acute respiratory syndrome coronavirus 2 (SARS-CoV-2) infection or mild or severe COVID-19, on admission to the Self-Defense Forces Central Hospital (Tokyo, Japan) and at the end of observation.
Methods: This retrospective, single-centre study included participants with laboratory-detected SARS-CoV-2 infection who were admitted to the Self-Defense Forces Central Hospital from Feb 11 to Feb 25, 2020. Clinical records, laboratory data, and radiological findings were analysed. Clinical outcomes were followed up until discharge or Feb 26, 2020, whichever came first. We defined asymptomatic infection as SARS-CoV-2 infection with no history of clinical signs and symptoms, severe COVID-19 as clinical symptoms of pneumonia (dyspnoea, tachypnoea, peripheral capillary oxygen saturation <93%, and need for oxygen therapy), and mild COVID-19 as all other symptoms. Clinical features on admission were compared among patients with different disease severity, including asymptomatic infection, at the end of observation. We used univariable analysis to identify factors associated with symptomatic illness among asymptomatic people infected with SARS-CoV-2 and disease progression in patients with COVID-19.
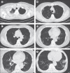
Findings: Among the 104 participants included in the final analysis, the median age was 68 years (IQR 47-75) and 54 (52%) were male. On admission, 43 (41%) participants were classified as asymptomatic, 41 (39%) as having mild COVID-10, and 20 (19%) as having severe COVID-19. At the end of observation, 33 (32%) participants were confirmed as being asymptomatic, 43 (41%) as having mild COVID-19, and 28 (27%) as having severe COVID-19. Serum lactate hydrogenase concentrations were significantly higher in the ten participants who were asymptomatic on admission but developed symptomatic COVID-19 compared with the 33 participants who remained asymptomatic throughout the observation period (five [50%] vs four [12%] participants; odds ratio 7·25, 95% CI 1·43-36·70; p=0·020). Compared with patients with mild disease at the end of observation, patients with severe COVID-19 were older (median age 73 years [IQR 55-77] vs 60 years [40-71]; p=0·028) and had more frequent consolidation on chest CT (13 [46%] of 28 vs nine [21%] of 43; p=0·035) and lymphopenia (16 [57%] vs ten [23%]; p=0·0055) on admission.
Interpretation: Older age, consolidation on chest CT images, and lymphopenia might be risk factors for disease progression of COVID-19 and contribute to improved clinical management.
Funding: None.
Copyright © 2020 Elsevier Ltd. All rights reserved.
Figures


Comment in
-
Asymptomatic SARS-CoV-2 infection.Lancet Infect Dis. 2020 Sep;20(9):996-998. doi: 10.1016/S1473-3099(20)30460-6. Epub 2020 Jun 12. Lancet Infect Dis. 2020. PMID: 32539989 Free PMC article. No abstract available.
References
MeSH terms
LinkOut - more resources
Full Text Sources
Other Literature Sources
Miscellaneous