Late presenting congenital diaphragmatic hernia misdiagnosed as a pleural effusion: A case report
- PMID: 32541516
- PMCID: PMC7302620
- DOI: 10.1097/MD.0000000000020684
Late presenting congenital diaphragmatic hernia misdiagnosed as a pleural effusion: A case report
Abstract
Rationale: Late presenting congenital diaphragmatic hernia (CDH) that develops after the neonatal period has various clinical manifestations and can often be misdiagnosed as pleural effusion, pneumonia, or pneumothorax. We report an adolescent case who was transferred to our hospital after iatrogenic gastric perforation during chest tube thoracotomy caused by misdiagnosis of pleural effusion.
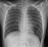
Patient concerns: A 13-year-old boy with no medical history of conditions relevant to CDH and traumatic events visited a community hospital complaining of left upper quadrant abdominal pain and vomiting over the previous 3 days. The initial chest x-ray looked like pleural effusion at a cursory glance, so a chest tube thoracotomy was performed, upon insertion food-like materials drained through the tube.
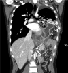
Diagnosis: CDH and iatrogenic gastric perforation by chest tube were diagnosed by chest computed tomography scan.
Interventions: The patient was transferred to our hospital immediately, and emergent operation was performed. There was a large hernial defect on the left posterolateral side of the diaphragm and various intra-abdominal organs, including the stomach, had been displaced into the thoracic cavity. After manual reduction, stomach perforation by chest tube was identified. Wedge resection of the gastric perforation site was performed and the hernial defect in the diaphragm was closed with Gore-Tex mesh and nonabsorbable sutures.
Outcomes: The patient was discharged without complication on the postoperative 15th day.
Lessons: Late presenting CDH can be misdiagnosed as pleural effusion on chest x-ray, so special attention should be given to a differential diagnosis to avoid any serious complications.
Conflict of interest statement
The authors report no conflicts of interest.
Figures



References
-
- Baglaj M, Dorobisz U. Late-presenting congenital diaphragmatic hernia in children: a literature review. Pediatr Radiol 2005;35:478–88. - PubMed
-
- Taylor GA, Atalabi OM, Estroff JA. Imaging of congenital diaphragmatic hernias. Pediatr Radiol 2008;39:1–6. - PubMed
-
- Ayala JA, Naik-Mathuria B, Olutoye OO. Delayed presentation of congenital diaphragmatic hernia manifesting as combined-type acute gastric volvulus: a case report and review of the literature. J Pediatr Surg 2008;43:e35–9. - PubMed
-
- Baerg J, Kanthimathinathan V, Gollin G. Late-presenting congenital diaphragmatic hernia: diagnostic pitfalls and outcome. Hernia 2012;16:461–6. - PubMed
Publication types
MeSH terms
LinkOut - more resources
Full Text Sources