The importance of wearing a seatbelt correctly - A case report of blunt trauma causing complete shearing transection of the gastroduodenal junction
- PMID: 32544828
- PMCID: PMC7298554
- DOI: 10.1016/j.ijscr.2020.05.008
The importance of wearing a seatbelt correctly - A case report of blunt trauma causing complete shearing transection of the gastroduodenal junction
Abstract
Introduction: Global mortality as a result of road traffic accidents (RTA) has reduced significantly since mandatory implementation of seatbelts. Whilst seatbelt related injury, or "seatbelt syndrome," is a recognised phenomenon, unrestrained passengers have considerably worse survival outcomes. Improper positioning of seatbelts, as is discussed in the following case, can cause extensive injury.
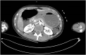
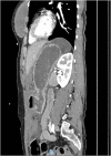
Presentation of case: Our patient is a 35-year-old female who was a restrained front seat passenger in a car vs. tree collision at 80 km/h. Her seat belt was worn with the shoulder strap under her left axilla. She sustained multiple injuries including complete transection of the gastroduodenal junction. In addition to this she had splenic, liver, transverse colonic, left lower rib and humeral injury. She underwent damage control laparotomy with splenectomy; re-look with gastrojejunostomy and transverse colonic resection with defunctioning ileostomy. She made a good recovery and was discharged after a 4 week admission.
Discussion: Improperly worn seatbelts redistribute decelerative forces to sensitive regions. A multidisciplinary approach is required to effectively manage complex multi-system trauma. In trauma the simplest reconstructive measures can be the most effective and minimise risk of further complications for the patient.
Conclusion: Improperly worn seatbelts pose a significant risk to patients. A traumatic complete gastroduodenal transection can be effectively reconstructed with gastrojejunostomy anastomosis.
Keywords: Emergency surgery; Road traffic accident; Seatbelt; Trauma; Upper gastrointestinal injury.
Crown Copyright © 2020. Published by Elsevier Ltd. All rights reserved.
Figures





References
-
- WHO| . WHO; 2019. Disease Burden and Mortality Estimates.
-
- WHO| . WHO; 2018. Global Status Report on Road Safety 2015.
-
- Mackenzie E.J., Rivara F.P., Jurkovich G.J., Nathens A.B., Frey K.P., Egleston B.L. The national study on costs and outcomes of trauma. J. Trauma. 2007;63(6 Suppl):S54–67. discussion S81-6. - PubMed
-
- WHO| . WHO; 2019. Global Status Report on Road Safety 2018.
-
- infra_regional . Bureau of Infrastructure, Transport and Regional Economics; 2020. Australian Road Deaths Database |.
Publication types
LinkOut - more resources
Full Text Sources
Research Materials