Multifocal Amelanotic Melanoma of the Hard Palate: A Challenging Case
- PMID: 32580507
- PMCID: PMC7344725
- DOI: 10.3390/diagnostics10060424
Multifocal Amelanotic Melanoma of the Hard Palate: A Challenging Case
Abstract
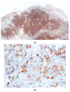
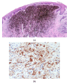
Among all melanomas, the mucosal type is very rare and may occur in the sino-nasal mucosa, vagina, anus and the oral cavity. At variance with melanomas of the skin, no risk factors, such as familiarity, UV-exposure and skin phenotype, have been clearly identified for such neoplasms. Frequently, the diagnosis is delayed and achieved at advanced stages or when metastases have already occurred. The authors report on a case of mucosal melanoma of the oral cavity presenting as a mass of the hard palate in a 50-year old male, and the corresponding diagnostic-therapeutic pathway.
Keywords: head and neck; melanoma; mucosal melanoma; oral tumors.
Conflict of interest statement
The authors declare no conflict of interest.
Figures
References
-
- Crowson A.N., Magro C.M., Sanchez-Carpintero I., Mihm M.C. Cancers of the Skin. Springer; Berlin/Heidelberg, Germany: 2002. The precursors of malignant melanoma; pp. 75–84. - PubMed
Publication types
LinkOut - more resources
Full Text Sources
