Post-developmental extracellular proteoglycan maintenance in attractin-deficient mice
- PMID: 32580758
- PMCID: PMC7313179
- DOI: 10.1186/s13104-020-05130-1
Post-developmental extracellular proteoglycan maintenance in attractin-deficient mice
Abstract
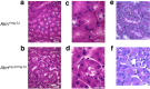
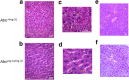
Objective: Neurodegeneration and hair pigmentation alterations in mice occur consequent to aberrations at the Atrn locus coding for the transmembrane form of attractin. Earlier results pointed to a possible involvement in intracellular trafficking/export of secretory vesicles containing proteoglycan. Here we examined kidney and liver, both heavily dependent upon proteoglycan, of attractin-deficient mice to determine whether abnormalities were observed in these tissues.
Results: Histological and histochemical analysis to detect glycosylated protein identified a severe loss in attractin-deficient mice of extracellular proteoglycan between kidney tubules in addition to a loss of glycosylated material within the intratubular brush border. In the liver, extracellular matrix material was significantly depleted between hepatocytes together with swollen sinuses and aberrations in the proteoglycan-dependent space of Disse. These results are consistent with a generalized defect in extracellular proteoglycan deposition in Atrn-mutant mice and support previous reports suggesting a role for attractin in the secretory vesicle pathway.
Keywords: Attractin; Extracellular matrix; Histology; Kidney; Liver; Proteoglycan.
Conflict of interest statement
The authors declare that they have no competing interests.
Figures



References
-
- Duke-Cohan JS, Gu J, McLaughlin DF, Xu Y, Freeman GJ, Schlossman SF. Attractin (DPPT-L), a member of the CUB family of cell adhesion and guidance proteins, is secreted by activated human T lymphocytes and modulates immune cell interactions. Proc Natl Acad Sci USA. 1998;95(19):11336–11341. doi: 10.1073/pnas.95.19.11336. - DOI - PMC - PubMed
MeSH terms
Substances
LinkOut - more resources
Full Text Sources
Medical
Molecular Biology Databases
Miscellaneous