Spontaneous subepithelial hemorrhage of renal pelvis and ureter (Antopol-Goldman lesion) in hemophilia A patient with inhibitor: Case report and review of the literature
- PMID: 32590782
- PMCID: PMC7328965
- DOI: 10.1097/MD.0000000000020851
Spontaneous subepithelial hemorrhage of renal pelvis and ureter (Antopol-Goldman lesion) in hemophilia A patient with inhibitor: Case report and review of the literature
Abstract
Introduction: The Antopol-Goldman lesion (AGL), which expresses subepithelial hemorrhage in the renal pelvis, was first defined by Antopol and Goldman in 1948. The objective of this study is to report the first case of AGL in patients with congenital hemophilia and review the relevant literature.
Patient concerns: A 32-year-old male patient diagnosed with congenital hemophilia A (FVIII = %4) with high responding inhibitors (7.4 BU) was admitted to our emergency department with gross hematuria and sudden onset flank pain.
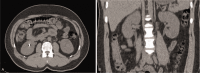
Diagnosis: Abdominal computed tomography (CT-scan) presented a hyperdense lesion in the left ureteropelvic junction with Hounsfield Units of 56 compatibles with hemorrhage.
Interventions: The patient was given 4500 IU of factor eight inhibitor bypass activity (FEIBA) intravenously twice daily for 5 days. Subsequently, 4500 IU of FEIBA was administrated once a day for 2 days.
Outcomes: The patient's complaints disappeared on the fourth day of treatment. Macroscopic and microscopic hematuria was not seen in the following days. Follow-up CT was done 3 months after discharge and showed normal left renal pelvis without hyperdenosis. Follow-up CT was performed 3 months after discharge and presented normal left renal pelvis with no hyperdense lesion.
Conclusion: Although very rare, AGL should be kept in mind in the differential diagnosis of renal pelvic hemorrhage. In the patient who has an underlying history of coagulopathy nephrectomy can be avoided when there is awareness of AGL.
Conflict of interest statement
The authors report no conflicts of interest
Figures


References
-
- Antopol W, Goldman L. Subepithelial hemorrhage of renal pelvis simulating neoplasm. Urol Cutan Rev 1948;52:189–95. - PubMed
-
- Eccher A, Brunelli M, Gobbo S. Subepithelial pelvic hematoma (Antopol-Goldman lesion) simulating renal neoplasm: report of a case and review of the literature. Int J Surg Pathol 2009;17:264–7. - PubMed
-
- Iczkowski KA, Sweat SD, Bostwick DG. Subepithelial pelvic hematoma of the kidney clinically mimicking cancer: report of six cases and review of the literature. Urology 1999;53:276–9. - PubMed
-
- Şeker KG, Şam E, ⊠zdemir O, et al. A rare case mimicking collecting system tumor: antopol-goldman lesion. Bull Urooncol 2018;17:150–2.
Publication types
MeSH terms
Substances
LinkOut - more resources
Full Text Sources
Medical