Pulmonary enteric adenocarcinoma: a literature review
- PMID: 32642243
- PMCID: PMC7330779
- DOI: 10.21037/jtd-19-4171
Pulmonary enteric adenocarcinoma: a literature review
Abstract
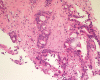
Pulmonary enteric adenocarcinoma (PEAC) is an extremely rare type of non-small cell lung cancer (NSCLC) with a histologic pattern that mimics metastatic colorectal cancer (MCC). The main clinical symptoms in PEAC patients are dyspnoea, coughing, hemoptysis, and chest and back pain. The first article about PEAC appeared in 1991 in the form of a case report. As a variant of invasive lung carcinoma, only a small number of case reports and clinical research studies have been carried out, and the only one guidance on diagnosis and treatment is the WHO Tumor Classification book. It is important for doctors to distinguish PEAC from MCC to extend survival time and improve the quality of life. We reviewed the existing literature regarding the diagnosis, treatment, and prognosis of PEAC to provide some valuable clinical references.
Keywords: Pulmonary carcinoma; diagnosis; enteric; prognosis; treatment.
2020 Journal of Thoracic Disease. All rights reserved.
Conflict of interest statement
Conflicts of Interest: Both authors have completed the ICMJE uniform disclosure form (available at http://dx.doi.org/10.21037/jtd-19-4171). The authors have no conflicts of interest to declare.
Figures


References
-
- Travis WD, Brambilla E, Noguchi M, et al. International Association for the Study of Lung Cancer/American Thoracic Society/European Respiratory Society International Multidisciplinary Classification of Lung Adenocarcinoma. J Thorac Oncol 2011;6:244-85. 10.1097/JTO.0b013e318206a221 - DOI - PMC - PubMed
-
- Peng LJ, Hu XK, Liu DY, et al. The study of the concerning nosology and imaging and clinical manifestation about lung cancer. J Medical Imaging 2007;17:826-9.
Publication types
LinkOut - more resources
Full Text Sources
Research Materials