Diagnostic Challenges in Chondroblastic Maxillary Osteosarcoma: A Case Report
- PMID: 32642334
- PMCID: PMC7336646
- DOI: 10.7759/cureus.8418
Diagnostic Challenges in Chondroblastic Maxillary Osteosarcoma: A Case Report
Abstract
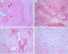
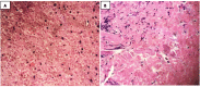
The diagnosis of craniofacial osteosarcoma can be quite challenging, and the condition often goes unrecognized for a considerable period of time. In this report, we discuss the case of a 21-year old woman who presented with a one-year history of a small swelling over the left maxillary alveolar ridge. Upon further investigation, the histopathological examination showed high-grade chondroblastic osteosarcoma. The option of four cycles of neoadjuvant chemotherapy regimen preoperatively was chosen, and left inferior maxillectomy was performed along with reconstruction with obturator prosthesis. This case highlights the difficulties encountered in such rare cases of craniofacial osteosarcomas both in terms of the delay in the establishment of the diagnosis as well as management protocol. A high index of suspicion is required in cases of craniofacial osteosarcoma and early surgical resection with adequate safety margins is warranted.
Keywords: chondroblastic; craniofacial; maxillary; osteosarcoma.
Copyright © 2020, Rajab et al.
Conflict of interest statement
The authors have declared that no competing interests exist.
Figures
 
              
              
              
              
                
                
                 
              
              
              
              
                
                
                 
              
              
              
              
                
                
                 
              
              
              
              
                
                
                 
              
              
              
              
                
                
                 
              
              
              
              
                
                
                References
- 
    - Atypical presentation of a maxillary chondroblastic osteosarcoma and complex management. George J, Abdulla M, Farboud A, Leopold G, Marnane C. Reports. 2018;1:23.
 
- 
    - Craniofacial osteosarcoma experience of the cooperative German-Austrian-Swiss osteosarcoma study group. Jasnau S, Meyer U, Potratz J, et al. Oral Oncol. 2008;44:286–294. - PubMed
 
- 
    - Advanced osteosarcoma of the maxilla: a case report. Amaral MB, Buchholz I, Freire-Maia B, et al. https://www.researchgate.net/profile/Martinho_Horta/publication/23138379... Med Oral Patol Oral Cir Bucal. 2008;13:0–5. - PubMed
 
Publication types
LinkOut - more resources
- Full Text Sources
