Metastatic Plasmacytoid Bladder Cancer Harboring a CDH-1 Mutation and Producing High Levels of CA 19-9. A Case Report and Literature Review
- PMID: 32644978
- PMCID: PMC7370577
- DOI: 10.12659/AJCR.923130
Metastatic Plasmacytoid Bladder Cancer Harboring a CDH-1 Mutation and Producing High Levels of CA 19-9. A Case Report and Literature Review
Abstract
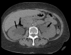
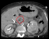
BACKGROUND Plasmacytoid urothelial carcinoma (PUC) is a rare and aggressive variant of urothelial cancers. Herein, we report a patient with CDH-1 mutated PUC who presented with disseminated peritoneal metastasis and high levels of CA 19-9. CASE REPORT A 65-year-old female presented to the hospital with vomiting, obstructive jaundice, and acute renal failure. Imaging studies showed bilateral hydronephrosis, bladder wall thickening without masses, and dilation of both common bile and pancreatic ducts without pancreatic masses. Carbohydrate antigen (CA) 19-9 was elevated at >17 000 U/mL. Repeated cystoscopies demonstrated no masses within the bladder, but with nodularity and inflamed mucosa, and random biopsies were obtained and showed PUC. Ascitic fluid cytology revealed metastatic PUC. A targeted exome next-generation sequencing (NGS) revealed pathogenic mutations in TP53, CDH-1, RB1, and ARIDA1A. The patient was debilitated, and hospice care was recommended. She passed away after 2 months of her initial presentation. CONCLUSIONS PUC is a rare and aggressive histological variant of bladder cancer. Advanced stage at diagnosis and high relapse rates after treatment with cytotoxic regimens are common. At the molecular level, somatic alterations in cadherin-1 (CDH-1) gene seem to be characteristic. Exploring the molecular sphere of this disease is prudent to identify possible new therapeutic targets.
Conflict of interest statement
Figures




References
-
- Torre LA, Bray F, Siegel RL, et al. Global cancer statistics, 2012. Cancer J Clin. 2015;65:87–108. - PubMed
-
- Hashemi-Sadraei N, Perrino CM, Monn MF, et al. Plasmacytoid urothelial carcinoma: A clinicopathological study. J Clin Oncol. 2018;36:482.
-
- Cockerill PA, Cheville JC, Boorjian SA, et al. Outcomes following radical cystectomy for plasmacytoid urothelial carcinoma: Defining the need for improved local cancer control. Urology. 2017;102:143–47. - PubMed
-
- Kaimakliotis HZ, Monn MF, Cary KC, et al. Plasmacytoid variant urothelial bladder cancer: Is it time to update the treatment paradigm? Urol Oncol. 2014;32:833–38. - PubMed
Publication types
MeSH terms
Substances
LinkOut - more resources
Full Text Sources
Medical
Research Materials
Miscellaneous