Case Report: COVID-19-Associated Bilateral Spontaneous Pneumothorax-A Literature Review
- PMID: 32666917
- PMCID: PMC7470558
- DOI: 10.4269/ajtmh.20-0680
Case Report: COVID-19-Associated Bilateral Spontaneous Pneumothorax-A Literature Review
Abstract
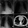
COVID-19 is a pandemic caused by SARS-CoV-2, primarily affecting the respiratory tract. Pulmonary complications of COVID-19 may include acute respiratory distress syndrome and pulmonary embolism. Pneumothorax has been recently reported in association with COVID-19. We report a case of COVID-19 pneumonia with bilateral spontaneous pneumothorax with no known underlying lung disease or risk factors.
Conflict of interest statement
Disclosure: This work has been approved by the institutional review board (manuscript number MRC-04-20-395).
Figures
References
-
- Wu Z, McGoogan J, 2020. Characteristics of and important lessons from the coronavirus disease 2019 (COVID-19) outbreak in China. JAMA 323: 1239. - PubMed
-
- Lyu R, Li X, 2020. Diagnosis and treatment of severe COVID-19 complicated with spontaneous pneumothorax: a case report. Adv Ultrasound Diagn Ther 4: 142–146.
-
- Aydın S, Öz G, Dumanlı A, Balcı A, Gencer A, 2020. A case of spontaneous pneumothorax in COVID-19 pneumonia. J Surg Res 3: 96–101.
Publication types
MeSH terms
LinkOut - more resources
Full Text Sources
Medical
Miscellaneous
