Third-trimester placentas of severe acute respiratory syndrome coronavirus 2 (SARS-CoV-2)-positive women: histomorphology, including viral immunohistochemistry and in-situ hybridization
- PMID: 32692408
- PMCID: PMC7405484
- DOI: 10.1111/his.14215
Third-trimester placentas of severe acute respiratory syndrome coronavirus 2 (SARS-CoV-2)-positive women: histomorphology, including viral immunohistochemistry and in-situ hybridization
Abstract
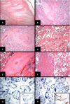
Aims: The wide variety of affected organ systems associated with severe acute respiratory syndrome coronavirus 2 (SARS-CoV-2) infection highlights the need for tissue-specific evaluation. We compared placentas from SARS-CoV-2-positive and SARS-CoV-2-negative women in our hospital in New York City, which became the epicenter of the coronavirus disease 2019 pandemic in March 2020. To date, some limited studies have been published on placentas from SARS-CoV-2-positive women. The aim of our study, in addition to describing histomorphology, was to utilize in-situ hybridization (ISH) for the S-gene encoding the spike protein and immunohistochemistry (IHC) with the monoclonal SARS-CoV-2 spike antibody 1A9 for placental evaluation.
Methods and results: In this study, 51 singleton, third-trimester placentas from SARS-CoV-2-positive women and 25 singleton, third-trimester placentas from SARS-CoV-2-negative women were examined histomorphologically according to the Amsterdam Criteria and with ISH and/or IHC. The corresponding clinical findings and neonatal outcomes also were recorded. Although no specific histomorphologic changes related to SARS-CoV-2 were noted in the placentas, evidence of maternal-fetal vascular malperfusion was identified, with placentas from SARS-CoV-2-positive women being significantly more likely to show villous agglutination (P = 0.003) and subchorionic thrombi (P = 0.026) than placentas from SARS-CoV-2-negative women. No evidence of direct viral involvement was identified with ISH and IHC.
Conclusions: In this study, third-trimester placentas from SARS-CoV-2-positive women were more likely to show evidence of maternal-fetal vascular malperfusion; however, ISH and IHC provided no evidence of direct viral involvement or vertical transmission.
Keywords: COVID-19; SARS-CoV-2; immunohistochemistry; in-situ hybridization; placental pathology; pregnancy; third trimester.
© 2020 John Wiley & Sons Ltd.
Conflict of interest statement
All authors state that they have no conflicts of interest.
Figures
References
MeSH terms
LinkOut - more resources
Full Text Sources
Medical
Miscellaneous
