Skip to main page content
U.S. flag

An official website of the United States government

Dot gov

The .gov means it’s official.
Federal government websites often end in .gov or .mil. Before sharing sensitive information, make sure you’re on a federal government site.

Https

The site is secure.
The https:// ensures that you are connecting to the official website and that any information you provide is encrypted and transmitted securely.

Access keys NCBI Homepage MyNCBI Homepage Main Content Main Navigation
Case Reports
. 2020 Jun 19;12(6):e8704.
doi: 10.7759/cureus.8704.

Omental Infarction Imitating Acute Appendicitis

Affiliations
Case Reports

Omental Infarction Imitating Acute Appendicitis

Saurabh Gaba et al. Cureus. .

Abstract

A 26-year-old male patient with no significant past history presented with a two-day illness of nausea and abdominal pain, mimicking acute appendicitis. The appendix was poorly visualized on the ultrasound scan so a CT scan was done which revealed infarction of the omentum on the right side of the abdomen. The patient was closely monitored and managed conservatively with analgesics, fluids and antibiotics. Spontaneous improvement occurred in a day, and oral feeding was resumed. The clinical course was uncomplicated, and the patient was discharged, circumventing unnecessary surgery. Literature search has revealed that omental infarction is a rare cause of acute abdomen and it can mimic acute appendicitis or cholecystitis. The treatment needs to be individualized, and surgery may or may not be required.

Keywords: acute abdomen; acute appendicitis; omental infarction.

PubMed Disclaimer

Conflict of interest statement

The authors have declared that no competing interests exist.

Figures

Figure 1
Figure 1. Coronal sections of contrast-enhanced CT scan of the abdomen.
There is an elongated oval-shaped mixed fat and soft tissue density (red arrows) measuring 4.4 × 2.1 × 6.0 cm in the right side of abdomen, signifying omental infarction. The lesion is extending from right iliac fossa to the subhepatic region (yellow arrows).
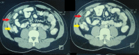
Figure 2
Figure 2. Axial sections of contrast-enhanced CT scan of the abdomen.
The lesion produced by omental infarction (red arrows) can be seen anterior to the ascending colon (yellow arrows).

References

    1. Diagnosis of acute appendicitis. Petroianu A. Int J Surg. 2012;10:115–119. - PubMed
    1. Immunological functions of the omentum. Meza-Perez S, Randall TD. Trends Immunol. 2017;38:526–536. - PMC - PubMed
    1. Greater and lesser omenta: normal anatomy and pathologic processes. Yoo E, Kim JH, Kim M-J, Yu SK, Chung J-J, Yoo H-S, Kim KW. Radiographics. 2007;27:707–720. - PubMed
    1. Modern management of omental torsion and omental infarction: a surgeon’s perspective. Itenberg E, Mariadason J, Khersonsky J, Wallack M. J Surg Educ. 2010;67:44–47. - PubMed
    1. Diagnosis and management of idiopathic omental infarction: a case report. Barai KP, Knight BC. Int J Surg Case Rep. 2011;2:138–140. - PMC - PubMed

Publication types

LinkOut - more resources