Correction to: HIV-1 IN/Pol recruits LEDGF/p75 into viral particles
- PMID: 32727480
- PMCID: PMC7388445
- DOI: 10.1186/s12977-020-00531-3
Correction to: HIV-1 IN/Pol recruits LEDGF/p75 into viral particles
Abstract
An amendment to this paper has been published and can be accessed via the original article.
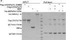
Figures
Erratum for
-
HIV-1 IN/Pol recruits LEDGF/p75 into viral particles.Retrovirology. 2015 Feb 12;12:16. doi: 10.1186/s12977-014-0134-4. Retrovirology. 2015. PMID: 25809198 Free PMC article.
References
Publication types
LinkOut - more resources
Full Text Sources
Research Materials
