Chest CT accuracy in diagnosing COVID-19 during the peak of the Italian epidemic: A retrospective correlation with RT-PCR testing and analysis of discordant cases
- PMID: 32738464
- PMCID: PMC7382359
- DOI: 10.1016/j.ejrad.2020.109192
Chest CT accuracy in diagnosing COVID-19 during the peak of the Italian epidemic: A retrospective correlation with RT-PCR testing and analysis of discordant cases
Abstract
Objectives: The goal of this study was to assess chest computed tomography (CT) diagnostic accuracy in clinical practice using RT-PCR as standard of reference.
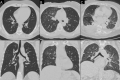
Methods: From March 4th to April 9th 2020, during the peak of the Italian COVID-19 epidemic, we enrolled a series of 773 patients that performed both non-contrast chest CT and RT-PCR with a time interval no longer than a week due to suspected SARS-CoV-2 infection. The diagnostic performance of CT was evaluated according to sensitivity, specificity, positive predictive value (PPV), negative predictive value (NPV) and diagnostic accuracy, considering RT-PCR as the reference standard. An analysis on the patients with discrepant CT scan and RT-PCR result and on the patient with both negative tests was performed.
Results: RT-PCR testing showed an overall positive rate of 59.8 %. CT sensitivity, specificity, PPV, NPV, and accuracy for SARS-CoV-2 infection were 90.7 % [95 % IC, 87.7%-93.2%], 78.8 % [95 % IC, 73.8-83.2%], 86.4 % [95 % IC, 76.1 %-88.9 %], 85.1 % [95 % IC, 81.0 %-88.4] and 85.9 % [95 % IC 83.2-88.3%], respectively. Twenty-five/66 (37.6 %) patients with positive CT and negative RT-PCR results and 12/245 (4.9 %) patients with both negative tests were nevertheless judged as positive cases by the clinicians based on clinical and epidemiological criteria and consequently treated.
Conclusions: In our experience, in a context of high pre-test probability, CT scan shows good sensitivity and a consistently higher specificity for the diagnosis of COVID-19 pneumonia than what reported by previous studies, especially when clinical and epidemiological features are taken into account.
Keywords: COVID-19; Diagnostic X-ray radiology; Sars-CoV-2; Tomography; X-ray computed.
Copyright © 2020 Elsevier B.V. All rights reserved.
Conflict of interest statement
The authors of this manuscript declare no relationships with any companies, whose products or services may be related to the subject matter of the article.
Figures






References
Publication types
MeSH terms
LinkOut - more resources
Full Text Sources
Medical
Miscellaneous