Pediatric Dysfunctional Breathing: Proposed Components, Mechanisms, Diagnosis, and Management
- PMID: 32766182
- PMCID: PMC7378385
- DOI: 10.3389/fped.2020.00379
Pediatric Dysfunctional Breathing: Proposed Components, Mechanisms, Diagnosis, and Management
Abstract
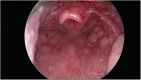
Dysfunctional breathing (DB) is an overarching term describing deviations in the normal biomechanical patterns of breathing which have a significant impact on quality of life, performance and functioning. Whilst it occurs in both children and adults, this article focuses specifically on children. DB can be viewed as having two components; breathing pattern disorder (BPD) and inducible laryngeal obstruction (ILO). They can be considered in isolation, however, are intricately related and often co-exist. When both are suspected, we propose both BPD and ILO be investigated within an all-encompassing multi-disciplinary dysfunctional breathing clinic. The MDT clinic can diagnose DB through expert history taking and a choice of appropriate tests/examinations which may include spirometry, breathing pattern analysis, exercise testing and laryngoscopic examination. Use of the proposed algorithm presented in this article will aid decision making regarding choosing the most appropriate tests and understanding the diagnostic implications of these tests. The most common symptoms of DB are shortness of breath and chest discomfort, often during exercise. Patients with DB typically present with normal spirometry and an altered breathing pattern at rest which is amplified during exercise. In pediatric ILO, abnormalities of the upper airway such as cobblestoning are commonly seen followed by abnormal activity of the upper airway structures provoked by exercise. This may be associated with a varying degree of stridor. The symptoms, however, are often misdiagnosed as asthma and the picture can be further complicated by the common co-presentation of DB and asthma. Associated conditions such as asthma, extra-esophageal reflux, rhinitis, and allergy must be treated appropriately and well controlled before any directed therapy for DB can be started if therapy is to be successful. DB in pediatrics is commonly treated with a course of non-pharmaceutical therapy. The therapy is provided by an experienced physiotherapist, speech and language therapist or psychologist depending on the dominant features of the DB presentation (i.e., BPD or ILO in combination or in isolation) and some patients will benefit from input from more than one of these disciplines. An individualized treatment program based on expert assessment and personalized goals will result in a return to normal function with reoccurrence being rare.
Keywords: breathing pattern disorders; dysfunctional breathing; exercise induced dyspnoea; inducible laryngeal obstruction; pediatrics; vocal cord dysfunction.
Copyright © 2020 Barker, Thevasagayam, Ugonna and Kirkby.
Figures





References
-
- Barker N, Ugonna K, Thevasagayam R, Kirkby J. Practical guide to the management of dysfunctional breathing. Paediatr Child Health. (2018) 28:149–51. 10.1016/j.paed.2018.01.003 - DOI
Publication types
LinkOut - more resources
Full Text Sources
Miscellaneous