A rare case of calcific tendinitis of biceps femoris presenting with lateral knee pain
- PMID: 32774045
- PMCID: PMC7394803
- DOI: 10.1016/j.jcot.2020.04.015
A rare case of calcific tendinitis of biceps femoris presenting with lateral knee pain
Erratum in
-
Erratum regarding previously published articles.J Clin Orthop Trauma. 2021 Aug 5;21:101560. doi: 10.1016/j.jcot.2021.101560. eCollection 2021 Oct. J Clin Orthop Trauma. 2021. PMID: 34414073 Free PMC article.
Abstract
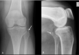
Distal biceps femoris tendon is an unusual site of calcific tendinitis and a rare cause of knee pain. We present a case of 72-year-old lady who presented with a six-month history of pain over the lateral aspect of knee. Subsequent imaging demonstrated calcific deposits within the biceps femoris tendon substance. She was then successfully treated with ultrasound-guided barbotage of the calcium deposits and peri-tendinous corticosteroid injection. Clinical awareness of the unusual sites of calcific tendinitis with imaging evidence is important for early diagnosis and appropriate management.
Keywords: Biceps femoris; Calcific tendinitis; Ultrasound guided barbotage.
© 2020 Delhi Orthopedic Association. All rights reserved.
Figures


References
-
- Uhthoff H.K., Sarkar K., Maynard J.A. Calcifying tendinitis: a new concept of its pathogenesis. Clin Orthop Relat Res. 1976;118:164–168. - PubMed
LinkOut - more resources
Full Text Sources