Intercostal artery embolization to induce false lumen thrombosis in type B aortic dissection
- PMID: 32775849
- PMCID: PMC7396825
- DOI: 10.1016/j.jvscit.2020.05.012
Intercostal artery embolization to induce false lumen thrombosis in type B aortic dissection
Abstract
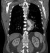
Persistent false lumen flow is common after thoracic endovascular aortic repair of type B aortic dissection and may contribute to continued aortic aneurysmal degeneration. We report an innovative technique of intercostal artery embolization within the false lumen for a patient who had incomplete false lumen thrombosis and progressive aortic enlargement after thoracic endovascular aortic repair of chronic type B aortic dissection. Technical success was facilitated by use of on-table cone beam computed tomography angiography, virtual vessel marking, and modern endovascular tools. The patient had no complications from the procedure. Postoperative imaging demonstrated complete thoracic false lumen thrombosis and favorable aortic remodeling with reduction in maximal aortic diameter.
Keywords: Embolization; False lumen; Intercostal artery; Type B aortic dissection.
© 2020 The Authors.
Figures




References
-
- Kang W.C., Greenberg R.K., Mastracci T.M., Eagleton M.J., Hernandez A.V., Pujara A.C. Endovascular repair of complicated chronic distal aortic dissections: intermediate outcomes and complications. J Thorac Cardiovasc Surg. 2011;142:1074–1083. - PubMed
-
- Lombardi J.V., Hughes G.C., Appoo J.J., Bavaria J.E., Beck A.W., Cambria R.P. Society for Vascular Surgery (SVS) and Society of Thoracic Surgeons (STS) reporting standards for type B aortic dissections. J Vasc Surg. 2020;71:723–747. - PubMed
-
- Tsai T.T., Evangelista A., Nienaber C.A., Myrmel T., Meinhardt G., Cooper J.V. Partial thrombosis of the false lumen in patients with acute type B aortic dissection. N Engl J Med. 2007;357:349–359. - PubMed
-
- Kitagawa A., Greenberg R.K., Eagleton M.J., Mastracci T.M., Roselli E.E. Fenestrated and branched endovascular aortic repair for chronic type B aortic dissection with thoracoabdominal aneurysms. J Vasc Surg. 2013;58:625–634. - PubMed
-
- Liu F., Ge Y.Y., Guo W., Liu X.P., Jia X., Xiong J. Preoperative thoracic false lumen branches are predictors of aortic enlargement after stent grafting for DeBakey IIIb aortic dissection. J Thorac Cardiovasc Surg. 2018;155:21–29.e3. - PubMed
LinkOut - more resources
Full Text Sources