A case of successful transarterial stenting for pseudoaneurysm after pancreaticoduodenectomy
- PMID: 32782968
- PMCID: PMC7411636
- DOI: 10.1002/jgh3.12345
A case of successful transarterial stenting for pseudoaneurysm after pancreaticoduodenectomy
Abstract
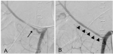
Postpancreaticoduodenectomy (PD) bleeding, which is reported to occur in 5-7%, is a major complication that often causes life-threatening secondary events. A transarterial catheter technique with coil embolization is a widespread procedure that could potentially cause massive hepatic infarction and subsequent sepsis with hepatic abscess, which can be a fatal complication. Here, we introduce a new transarterial technique that uses a hemostat with a stent graft, which successfully rescued a patient had suffered post-PD bleeding.
Keywords: Subtotal Stomach‐Preserving Pancreaticoduodenectomy (SSPPD); post‐pancreaticoduodenectomy bleeding; transarterial stenting.
© 2020 The Authors. JGH Open: An open access journal of gastroenterology and hepatology published by Journal of Gastroenterology and Hepatology Foundation and John Wiley & Sons Australia, Ltd.
Figures


Publication types
LinkOut - more resources
Full Text Sources