Rare encounter: hydrocoele of canal of Nuck in a Scottish rural hospital during the COVID-19 pandemic
- PMID: 32784235
- PMCID: PMC7418684
- DOI: 10.1136/bcr-2020-237169
Rare encounter: hydrocoele of canal of Nuck in a Scottish rural hospital during the COVID-19 pandemic
Abstract
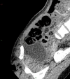
We report the case of a 32-year-old woman who presented with reducible indirect inguinal hernia and a challenging constellation of symptoms, signs and radiographic findings. Surgical approach superseded conservative management when the patient's abdomen became acute, with a rising lactate and haemodynamic instability. Specifically, the presence of a fluid collection was concerning for sinister acute pathology. Our patient was rediagnosed intraoperatively with hydrocoele of canal of Nuck. This so-called 'female hydrocoele' is an eponymous anatomical rarity in general surgery, presenting as an inguinolabial swelling with variable clinical profile. Hydrocoele of canal of Nuck takes origin from failure of transitory reproductive anlagen to regress and is thus analogous to patent processus vaginalis. Its true incidence is speculative, with just several hundred cases globally. We aim to provide insights into surgical patient management for a rare entity during the COVID-19 outbreak, from the unique perspective of a small rural hospital in Scotland.
Keywords: general surgery; surgery; urology.
© BMJ Publishing Group Limited 2020. No commercial re-use. See rights and permissions. Published by BMJ.
Conflict of interest statement
Competing interests: None declared.
Figures




References
-
- Park P, Lee SR. Laparoscopic Intracorporeal Hydrocelectomy and posterior wall suture repair of the hydrocele for the canal of Nuck. J Clin Case Rep 2017;7 10.4172/2165-7920.10001056 - DOI
Publication types
MeSH terms
LinkOut - more resources
Full Text Sources
Medical