Tracheal Stenosis After Tracheostomy for Mechanical Ventilation in COVID-19 Pneumonia - A Report of 2 Cases from Northern Italy
- PMID: 32792471
- PMCID: PMC7447296
- DOI: 10.12659/AJCR.926731
Tracheal Stenosis After Tracheostomy for Mechanical Ventilation in COVID-19 Pneumonia - A Report of 2 Cases from Northern Italy
Abstract
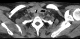
BACKGROUND The role of tracheostomy during the coronavirus disease 2019 (COVID-19) pandemic is still to be determined, and the complication rate of the tracheostomy in COVID-19 patients is still unknown. Postintubation tracheal stenosis is a well-known risk of prolonged endotracheal intubation, but it is too early to define the existence of any difference among the COVID-19 cohort of patients and non-COVID-19 patients. This report is of 2 cases of COVID-19 pneumonia that required tracheostomy and prolonged endotracheal intubation, which were followed by delayed tracheal stenosis. CASE REPORT Case 1. A 54-year-old male was admitted to our hospital (Biella, Italy) for severe acute respiratory syndrome coronavirus-2 (SARS-CoV-2) infection. The patient underwent orotracheal intubation, progressively improving his breathing function, and was discharged after 20 days. Ten days later, the patient presented with severe respiratory distress. Computed tomography (CT) scan and bronchoscopy showed signs of tracheal stenosis. We administered intravenous steroids for 10 days. The patient showed increasing improvement in his breathing function and was discharged with no other signs of respiratory distress. Case 2. A 43-year-old male was admitted to our hospital for SARS-CoV-2 infection. The patient underwent orotracheal intubation, progressively improving his breathing function, and was discharged after 25 days. Eighteen days later, the patient came to our emergency room with severe respiratory distress. CT scan and bronchoscopy showed signs of tracheal stenosis. The patient had to undergo tracheal resection. CONCLUSIONS The 2 cases presented in this report have shown that even when patients recover from severe COVID-19 pneumonia requiring tracheostomy and mechanical ventilation, tracheal stenosis should be recognized as a potential complication and careful follow-up is required.
Conflict of interest statement
None.
Figures




References
-
- Wu Z, McGoogan JM. Characteristics of and important lessons from the coronavirus disease 2019 (COVID-19) outbreak in China: Summary of a report of 72314 cases from the Chinese Center for Disease Control and Prevention. J Am Med Assoc. 2020. [Online ahead of print] - PubMed
-
- Intensive Care National Audit and Research Centre ICNARC report on COVID-19 in critical care. 2020. https://www.icnarc.org/Our-Audit/Audits/Cmp/Reports.
Publication types
MeSH terms
Substances
LinkOut - more resources
Full Text Sources
Miscellaneous