Diagnostic dilemma - sinonasal organizing hematoma
- PMID: 32821390
- PMCID: PMC7412905
- DOI: 10.1177/2050313X20945843
Diagnostic dilemma - sinonasal organizing hematoma
Abstract
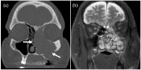
Sinonasal organizing hematomas are benign lesions often mistaken for malignancy due to their aggressive appearance on diagnostic imaging and endoscopic findings that favor advanced disease. The destructive nature of this pathology paired with the rarity of the presentation often results in diagnostic deception that may escalate intervention planning and affect discussion of prognosis with patients. Herein, we present a case of a 56-year-old male with left-sided nasal obstruction and daily epistaxis, where computed tomography imaging revealed heterogeneous opacification of the left maxillary sinus, erosion of the left inferior orbital wall and extension into the nasal cavity. Although clinical and radiographic presentations of sinonasal organizing hematomas can be managed definitively with endoscopic intervention, there is a need to increase awareness of this entity among clinicians to improve our prognostic counseling with patients.
Keywords: Sinonasal hematoma; Sinonasal organizing hematoma; benign neoplasm; organized hematoma; paranasal sinuses; sinonasal malignancy.
© The Author(s) 2020.
Conflict of interest statement
Declaration of conflicting interests: The author(s) declared no potential conflicts of interest with respect to the research, authorship, and/or publication of this article.
Figures
References
-
- Choi SJ, Seo ST, Rha KS, et al. Sinonasal organized hematoma: clinical features of seventeen cases and a systematic review. Laryngoscope 2015; 125(9): 2027–2033. - PubMed
-
- Pang W, Hu L, Wang H, et al. Organized hematoma: an analysis of 84 cases with emphasis on difficult prediction and favorable management. Otolaryngol Head Neck Surg 2016; 154(4): 626–633. - PubMed
-
- Wu AW, Ting JY, Borgie RC, et al. Diagnostic characteristics of sinonasal organizing hematomas: avoiding misdiagnosis. Int Forum Allergy Rhinol 2013; 3(7): 598–602. - PubMed
-
- Tabaee A, Kacker A. Hematoma of the maxillary sinus presenting as a mass—a case report and review of literature. Int J Pediatr Otorhinolaryngol 2002; 65: 153–157. - PubMed
Publication types
LinkOut - more resources
Full Text Sources
