EUS-guided transrectal drainage of pelvic fluid collections using electrocautery-enhanced lumen-apposing metal stents: a case series
- PMID: 32821872
- PMCID: PMC7426890
- DOI: 10.1016/j.vgie.2020.04.014
EUS-guided transrectal drainage of pelvic fluid collections using electrocautery-enhanced lumen-apposing metal stents: a case series
Abstract
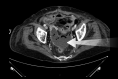
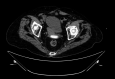
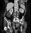
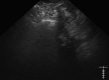
Background and aims: Pelvic fluid collections (PFCs) are frequent adverse events of abdominal surgery or inflammatory conditions. A percutaneous approach to deep PFCs could be challenging and result in a longer, painful recovery. The transvaginal approach has been considered easy but is limited by the difficulty of leaving a stent in place. The transrectal approach has been described, but issues related to fecal contamination were hypothesized. Data on EUS-guided transrectal drainage (EUS-TRD) with lumen-apposing metal stents (LAMSs) are few and suggest unsatisfactory outcomes. The aim of this study was to evaluate the safety and efficacy of EUS-TRD with LAMSs in patients with PFCs.
Methods: A retrospective analysis of a prospectively maintained database on therapeutic EUS was conducted. All EUS-TRD procedures were included.
Results: Five patients (2 male, age 44-89 years) were included. Four patients had postoperative PFCs, and 1 presented with a pelvic abscess complicating acute diverticulitis. Two of 5 had fecal diversion; the remaining 3 had unaltered large-bowel anatomy. One case had a concomitant abdominal collection, treated with percutaneous drainage in the same session. An electrocautery-enhanced LAMS delivery system (15 × 10 mm) was used in all cases. EUS-TRD was performed with the direct-puncture technique and lasted less than 10 minutes in 4 cases; in the remaining case, needle puncture and LAMS placement over a guidewire was required, and the procedure length was 14 minutes. The clinical success rate was 100%. LAMSs were removed after a median of 14 (range, 12-24) days. One patient reported partial proximal LAMS migration after 24 days (mild adverse event). No PFC recurrence was observed.
Conclusion: EUS-TRD with LAMSs is a safe and effective technique for treatment of PFCs. The use of 15- × 10-mm LAMSs allows rapid PFC resolution. EUS-TRD could be performed not only in patients with fecal diversion but also in cases of unaltered anatomy.
Keywords: EUS-TRD, EUS-guided trans-rectal drainage; LAMS, lumen-apposing metal stent; PFC, pelvic fluid collection.
© 2020 American Society for Gastrointestinal Endoscopy. Published by Elsevier Inc.
Figures









References
-
- Tonnus W., Meyer C., Paliege A. The pathological features of regulated necrosis. J Pathol. 2019;247:697–707. - PubMed
-
- Faro C., Faro S. Postoperative pelvic infections. Infect Dis Clin North Am. 2008;22:653–663. - PubMed
-
- Brun JL, Castan B, de Barbeyrac B, et al; for the CNGOF; SPILF. Pelvic inflammatory diseases: updated French guidelines. J Gynecol Obstet Hum Reprod. Epub 2020 Feb 20. - PubMed
LinkOut - more resources
Full Text Sources
Miscellaneous