Diagnosis, treatment and prognosis of hepatocellular carcinoma with inferior vena cava/right atrium tumor thrombus
- PMID: 32831920
- PMCID: PMC7439153
- DOI: 10.3892/ol.2020.11962
Diagnosis, treatment and prognosis of hepatocellular carcinoma with inferior vena cava/right atrium tumor thrombus
Abstract
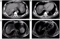
Although tumor thrombus (TT) infringement of the inferior vena cava (IVC) and right atrium (RA) is rarely observed in hepatocellular carcinoma (HCC), the prognosis for this condition is extremely poor, with a median survival time of several months, given that the condition is often diagnosed at an advanced tumor stage or combined with multiple systemic metastases. Furthermore, there is no established effective treatment for the condition. However, some investigators insist that active treatment, including surgery, chemotherapy (systemic or intra-arterial), radiation therapy, best supportive care or a combination of these, may help prolong overall survival time in these patients. The management of patients with advanced HCC and a TT extending into the RA and IVC is extremely difficult and risky. To this end, the present review assessed the literature on the clinical features and treatments of this condition in recent years, with the aim of providing assistance for clinical work.
Keywords: hepatocellular carcinoma; inferior vena cava; right atrium; treatment; tumor thrombus.
Copyright: © Xia et al.
Figures

References
-
- Lee I, Chung JW, Kim HC, Yin YH, So YH, Jeon UB, Jae HJ, Cho BH, Park JH. Extrahepatic collateral artery supply to the tumor thrombi of hepatocellular carcinoma invading inferior vena cava: The prevalence and determinant factors. J Vasc Interv Radiol. 2009;20:22–29. doi: 10.1016/j.jvir.2008.09.030. - DOI - PubMed
-
- Kudo M, Iznmi N, Kokudo N, Matsui O, Sakamoto M, Nakashima O, Kojiro M, Makuuchi M, HCC Expert Panel of Japan Society of Hepatology Management of hepatocellular carcinoma in Japan: Consensus-based clinical practice guidelines proposed by the Japan Society of Hepatology (JSH) 2010 updated version. Dig Dis. 2011;29:339–364. doi: 10.1159/000327577. - DOI - PubMed
Publication types
LinkOut - more resources
Full Text Sources