Right Ventricular Clot in Transit in COVID-19: Implications for the Pulmonary Embolism Response Team
- PMID: 32835284
- PMCID: PMC7259913
- DOI: 10.1016/j.jaccas.2020.05.034
Right Ventricular Clot in Transit in COVID-19: Implications for the Pulmonary Embolism Response Team
Abstract
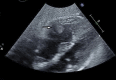
Severe acute respiratory syndrome coronavirus 2 is associated with a prothrombotic state in infected patients. After presenting a case of right ventricular thrombus in a patient with coronavirus disease-2019 (COVID-19), we discuss the unique challenges in the evaluation and treatment of COVID-19 patients, highlighting our COVID-19-modified pulmonary embolism response team algorithm. (Level of Difficulty: Beginner.).
Keywords: ARDS, acute respiratory distress syndrome; COVID-19, coronavirus disease-2019; CTA, computed tomography angiography; ECMO, extracorporeal membrane oxygenation; ICU, intensive care unit; PE, pulmonary embolism; PERT, pulmonary embolism response team; PPE, personal protective equipment; Pao2, partial arterial pressure of oxygen; SARS-CoV-2, severe acute respiratory syndrome-coronavirus-2; TTE, transthoracic echocardiography; VTE, venous thromboembolism; clot in transit; pulmonary embolism; right ventricle; tPA, tissue plasminogen activator; thrombus; vascular disease.
© 2020 Published by Elsevier on behalf of the American College of Cardiology Foundation.
Figures




References
-
- Luo W., Yu H., Gou J. Clinical pathology of critical patient with novel coronavirus pneumonia (COVID-19) Preprints. 2020
Publication types
LinkOut - more resources
Full Text Sources
Miscellaneous