Skip to main page content
U.S. flag

An official website of the United States government

Dot gov

The .gov means it’s official.
Federal government websites often end in .gov or .mil. Before sharing sensitive information, make sure you’re on a federal government site.

Https

The site is secure.
The https:// ensures that you are connecting to the official website and that any information you provide is encrypted and transmitted securely.

Access keys NCBI Homepage MyNCBI Homepage Main Content Main Navigation
Case Reports
. 2020 Jul 20;12(7):e9305.
doi: 10.7759/cureus.9305.

Small Cell Variant of Medullary Thyroid Carcinoma: A Possible Treatment

Affiliations
Case Reports

Small Cell Variant of Medullary Thyroid Carcinoma: A Possible Treatment

John Sherret et al. Cureus. .

Abstract

Small cell variant of medullary thyroid carcinoma is an extremely rare histologic entity with a paucity of data. As such, there is a lack of literature and clinical experience regarding this disease. In this report, we examine a case of small cell variant of medullary thyroid carcinoma that presented with intractable nausea, vomiting and diarrhea. While these symptoms were essentially refractory to the standard symptomatic treatment, further laboratory analysis revealed dramatically elevated calcitonin levels and mildly raised thyroid-stimulating hormone levels. Interestingly, repletion of thyroid hormone and treatment with lanreotide resulted in an abatement of our patient's symptoms. This temporal clinical improvement highly suggests a potential role involving thyroid-stimulating hormone and calcitonin levels in the pathogenesis of this disease, and consequently suggests a role for thyroxine in treating the associated gastrointestinal symptoms.

Keywords: calcitonin; hypothyroidism; levothyroxine; medullary thyroid carcinoma; multiple endocrine neoplasia; nausea; octreotide; small cell variant; thyroid-stimulating hormone; vomiting.

PubMed Disclaimer

Conflict of interest statement

The authors have declared that no competing interests exist.

Figures

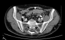
Figure 1
Figure 1. CT of the abdomen obtained two days prior to admission shows wall thickening and perisigmoid fat stranding.
Wall thickening is marked with an arrow head and the perisigmoid fat stranding is marked with an arrow.
Figure 2
Figure 2. CT of the abdomen obtained after alleviation of symptoms continues to show perisigmoid fat stranding and wall thickening.
Wall thickening is marked with an arrow head and the perisigmoid fat stranding is marked with an arrow.

References

    1. Sporadic medullary thyroid carcinoma: clinical data from a university hospital. Correia-Deur JE, Toledo R, Imazawa A, Lourenco Jr. D, Ezabella M, Tavares M, Toledo S. Clinics. 2009;64:379–386. - PMC - PubMed
    1. A national cancer data base report on 53,856 cases of thyroid carcinoma treated in the U.S., 1985-1995. Hundahl SA, Fleming ID, Fremgen AM, Menck HR. Cancer. 1998;83:2638–2648. - PubMed
    1. Small cell medullary thyroid carcinoma: a diagnostic dilemma. Verma A, Kane S, Vinarkar S, D’Cruz AK. Indian J Pathol Microbiol. 2017;60:562–564. - PubMed
    1. Small cell carcinoma: a rare subtype of thyroid cancer with unanticipated prognosis. Shi W, Zhao QY, Liu ZM, Wang ST, Liu CP. Curr Med Sci. 2019;39:265–269. - PubMed
    1. Medullary carcinoma of the thyroid. A study of the clinical features and prognostic factors in 161 patients. [Apr;2020 ];Saad MF, Ordonez NG, Rashid RK, Guido JJ, Hill CS Jr, Hickey RC, Samaan NA. https://www.ncbi.nlm.nih.gov/pubmed/6503683. Medicine. 1984 63:319–342. - PubMed

Publication types

LinkOut - more resources