Massive hemoptysis resulting from a fistula between the bronchus intermedius and pulmonary artery: a novel clinical presentation
- PMID: 32855792
- PMCID: PMC7444613
- DOI: 10.1093/jscr/rjaa209
Massive hemoptysis resulting from a fistula between the bronchus intermedius and pulmonary artery: a novel clinical presentation
Abstract
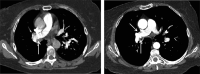
This is a case of a woman with massive hemoptysis, associated with a pulmonary artery pseudoaneurysm, and a fistula between the right pulmonary artery and bronchus intermedius. Bronchoscopic evaluation revealed an endobronchial mass in the right bronchus intermedius, suspicious for a tumor. Upon biopsy of the mass, massive bleeding occurred. The right lung was surgically resected. No specific etiology for the fistula was identified on pathologic examination. To our knowledge, this is the first report of a pulmonary artery-bronchial fistula presenting without typically known predisposing factors.
Keywords: bronchovascular fistula; hemoptysis; pulmonary artery pseudoaneurysm.
Published by Oxford University Press and JSCR Publishing Ltd. All rights reserved. © The Author(s) 2020.
Figures



References
-
- Bylicki O, Vandemoortele T, Orsini B, Laroumagne S, D’Journo XB, Astoul P, et al. . Incidence and management of anastomotic complications after bronchial resection: a retrospective study. Ann Thorac Surg. 2014;98:1961–7. - PubMed
-
- Tedder M, Anstadt MP, Tedder SD, Lowe JE. Current morbidity, mortality, and survival after bronchoplastic procedures for malignancy. Ann Thorac Surg. 1992;54:387–91. - PubMed
-
- Knight J, Elwing JM, Milstone A. Bronchovascular fistula formation: a rare airway complication after lung transplantation. J Heart Lung Transplant. 2008;27:1179–85. - PubMed
-
- Tobert DG, Prakash UBS, Johnson CM. Massive hemoptysis caused by a fistula between bronchial artery and bronchus. J Bronchology. 1996;3:203–6.
Publication types
LinkOut - more resources
Full Text Sources