Skip to main page content
U.S. flag

An official website of the United States government

Dot gov

The .gov means it’s official.
Federal government websites often end in .gov or .mil. Before sharing sensitive information, make sure you’re on a federal government site.

Https

The site is secure.
The https:// ensures that you are connecting to the official website and that any information you provide is encrypted and transmitted securely.

Access keys NCBI Homepage MyNCBI Homepage Main Content Main Navigation
. 2020 Sep-Oct;17(5):627-641.
doi: 10.21873/cgp.20219.

Clinicopathological and Molecular Differences Between Gastric-type Mucinous Carcinoma and Usual-type Endocervical Adenocarcinoma of the Uterine Cervix

Affiliations

Clinicopathological and Molecular Differences Between Gastric-type Mucinous Carcinoma and Usual-type Endocervical Adenocarcinoma of the Uterine Cervix

Hera Jung et al. Cancer Genomics Proteomics. 2020 Sep-Oct.

Abstract

Background/aim: We investigated differences in the clinicopathological and molecular characteristics between gastric-type mucinous carcinoma (GMC) and usual-type endocervical adenocarcinoma (UEA).

Patients and methods: We collected the clinicopathological information and performed targeted genomic sequencing analysis.

Results: GMCs exhibited significantly deeper invasion depth, larger horizontal spread, more advanced stage, more frequent distant metastasis, and more frequent parametrial and vaginal extension. Disease-free survival time of GMC patients was significantly shorter than that of UEA patients. GMCs displayed mutant p53 immunostaining pattern, whereas UEAs exhibited p16 block positivity. GMCs harbored mutations in KRAS, TP53, NF1, CDKN2A, STK11, and ARID1A. One GMC exhibited MDM2 amplification. In contrast, UEAs harbored mutations in HRAS, PIK3CA, and BRCA2. Two UEAs were found to have novel TP53 mutations.

Conclusion: GMC is associated with more aggressive behavior than UEA. Distinctive p53 and p16 immunostaining patterns enable differential diagnosis. GMC and UEA exhibit genetic heterogeneity with potentially actionable molecular alterations.

Keywords: Uterus; cervix; gastric-type mucinous carcinoma; immunohistochemistry; targeted sequencing; usual-type endocervical adenocarcinoma.

PubMed Disclaimer

Conflict of interest statement

The Authors have no conflicts of interest to declare regarding the study.

Figures

Figure 1
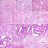
Figure 1. Histopathological features of gastric-type mucinous carcinoma (GMC; A to G) and usual-type endocervical adenocarcinoma (UEA; H to N). A: GMC consists of variable-sized, irregular-shaped glands that are lined by mucin-containing epithelium and infiltrate the cervical stroma. B: The tumor cells form angulated or complicated glands that anastomose each other. C: These glands invade haphazardly the deep cervical stroma and are associated with stromal desmoplasia. D: The fragmented glands and individually scattered tumor cells are admixed with extensive lymphoplasmacytic and eosinophilic stromal infiltrates. E: The surrounding stroma demonstrates the fibromyxoid desmoplastic reaction. F: The tumor cells possess abundant clear cytoplasm with a foamy appearance and relatively distinct cell borders. G: The tumor cell nuclei are enlarged and pleomorphic and exhibit coarse chromatin, variable-sized nucleoli, and membrane irregularity. H: UEA displays a complex glandular architecture, consisting mainly of cribriform glands and some dilated glandular lumina. I: The tumor cells demonstrate characteristic pseudostratified columnar epithelium with elongated, hyperchromatic nuclei. J: The tumor cell nuclei possess conspicuous nucleoli. Mitotic figures were frequently identified, especially in the apical zone of the amphophilic to eosinophilic cytoplasm. K: Apoptotic bodies and karyorrhectic debris are readily visible within the epithelium and glandular spaces. L: In a single case of UEA, the microcystic, elongated, and fragmented (MELF) patterns of invasion are noted. At the invasive tumor front (*), the tumor cells or glands were obscured by striking stromal desmoplasia and myxoinflammatory responses. Thus, they are not apparent at low-power magnification. M: The tumor cells demonstrate eosinophilic or vacuolated cytoplasm and are surrounded by a fibromyxoid or edematous stroma that is associated with inflammatory cells. N: In some foci, the tumor cell clusters exhibit epithelioid morphology, resembling histiocytes that are aggregated within lymphatic spaces (black arrows). A to N, hematoxylin and eosin staining. Original magnification, A to C, ×40; D and E, ×100; F and G, ×200; H, ×40; I, ×200; J and K, ×400; L, ×40; M and N ×200.
Figure 2
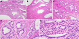
Figure 2. Histopathological features of lobular endocervical glandular hyperplasia. A: A distinctly lobular architecture consists of small round glands and cystically dilated ducts. B: The lesion is confined to the inner half of the cervical wall and. C: Each gland is lined by mucin-containing columnar epithelium. D: The epithelial cells possess basally located, uniform nuclei. Each cell does not exhibit any nuclear pleomorphism. E: The intervening stroma displays no inflammation or desmoplasia. A to E, hematoxylin and eosin staining. Original magnification, A, ×12.5; B, ×40; C, ×100; D, ×200; E, ×400.
Figure 3
Figure 3. Immunostaining results of gastric-type mucinous carcinoma (GMC; A to D) and usual-type endocervical adenocarcinoma (UEA; E to G). (black arrows). A: GMC. B: The GMC cells do not express p16, indicating that this tumor is independent of the human papillomavirus (HPV) infection. Instead, the spindle- or stellate-shaped stromal cells exhibit strong nuclear and cytoplasmic immunoreactivity for p16. C and D: p53 immunostaining reveals that the GMC cells display complete loss (C) or diffuse and strong expression (D), indicating the presence of the tumor protein 53 (TP53) mutation. E: UEA. F: The UEA cells demonstrate diffuse and strong nuclear p16 expression (block p16 positivity), indicating that UEA is associated with high-risk HPV infection. G: In contrast to p16 expression, p53 expression is weak and patchy in scattered tumor cells, indicating wild-type TP53. A and E, hematoxylin and eosin staining; B to D, F, and G, polymer method. Original magnification, A to D, ×100; E, ×100; F and G, ×200.
Figure 4
Figure 4. Kaplan-Meier plots for disease-free survival (DFS) (A) and overall survival (OS) (B) of patients with gastric-type mucinous carcinoma (GMS) or usual-type endocervical adenocarcinoma (UEA). The survival rates are indicated in red for GMC and in blue for UEA. A: DFS rate for GMC patients is significantly lower than that for UEA. B: OS time for GMC patients is also shorter than that of patients with UEA, although the difference in the OS rate between the two groups was not statistically significant.
Figure 5
Figure 5. Targeted sequencing results, immunophenotype, and human papillomavirus (HPV) status of gastric-type mucinous carcinoma (GMC) and usual-type endocervical adenocarcinoma (UEA).

References

    1. Kurman RJ, Carcangiu ML, Herrington S, Young RH. IARC. 2014. WHO classification of tumours of female reproductive organs.
    1. Bray F, Ferlay J, Soerjomataram I, Siegel RL, Torre LA, Jemal A. Global cancer statistics 2018: GLOBOCAN estimates of incidence and mortality worldwide for 36 cancers in 185 countries. CA Cancer J Clin. 2018;68:394–424. doi: 10.3322/caac.21492. - DOI - PubMed
    1. Mathew A, George PS. Trends in incidence and mortality rates of squamous cell carcinoma and adenocarcinoma of cervix—worldwide. Asian Pac J Cancer Prev. 2009;10:645–650. - PubMed
    1. Smith HO, Tiffany MF, Qualls CR, Key CR. The rising incidence of adenocarcinoma relative to squamous cell carcinoma of the uterine cervix in the United States: a 24-year population-based study. Gynecol Oncol. 2000;78:97–105. doi: 10.1006/gyno.2000.5826. - DOI - PubMed
    1. Visioli CB, Zappa M, Ciatto S, Iossa A, Crocetti E. Increasing trends of cervical adenocarcinoma incidence in Central Italy despite Extensive Screening Programme, 1985-2000. Cancer Detect Prev. 2004;28:461–464. doi: 10.1016/j.cdp.2004.07.007. - DOI - PubMed

MeSH terms

Substances