Skip to main page content
U.S. flag

An official website of the United States government

Dot gov

The .gov means it’s official.
Federal government websites often end in .gov or .mil. Before sharing sensitive information, make sure you’re on a federal government site.

Https

The site is secure.
The https:// ensures that you are connecting to the official website and that any information you provide is encrypted and transmitted securely.

Access keys NCBI Homepage MyNCBI Homepage Main Content Main Navigation
Case Reports
. 2020 Aug 29;12(8):e10123.
doi: 10.7759/cureus.10123.

Coronavirus Disease 2019-Induced Rhabdomyolysis

Affiliations
Case Reports

Coronavirus Disease 2019-Induced Rhabdomyolysis

Sreenath Meegada et al. Cureus. .

Abstract

Rhabdomyolysis is caused by necrosis of muscles and leakage of intracellular contents into blood circulation. It is most commonly caused by trauma, crush injuries, drugs, toxins, immobilization, compartment syndrome, prolonged surgical procedures, and less likely by infections. Infection-related rhabdomyolysis is rare, but not uncommon, and is seen in both viral and bacterial infections. Extrapulmonary manifestations of coronavirus disease 2019 (COVID-19) include thrombotic like pulmonary emboli, acute cerebrovascular accident, myocardial infarction, cardiac arrhythmias, liver injury, gangrene, diarrhea, acute renal failure, and so on. We here describe a case of COVID-19-induced rhabdomyolysis in a 19-year-old Hispanic male presenting with muscle aches, fatigue, fevers, and no pulmonary symptoms.

Keywords: corona virus; covid 19; elevated ck levels; fever; high fever; muscle aches; rhabdomyolysis.

PubMed Disclaimer

Conflict of interest statement

The authors have declared that no competing interests exist.

Figures

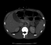
Figure 1
Figure 1. CT scan of the abdomen shows fluid-filled bowels (pointing arrows)
Figure 2
Figure 2. Chest X-ray shows no focal infiltrates, well-inflated lungs
Figure 3
Figure 3. Graphs showing trends of CK levels, AST, ALT, D-dimer, and creatinine
ALT, alanine transaminase; AST, aspartate aminotransferase; CK, creatine kinase
Figure 4
Figure 4. Graphs showing trends of CK levels, AST, ALT, D-dimer, and creatinine
ALT, alanine transaminase; AST, aspartate aminotransferase; CK, creatine kinase

References

    1. Coronavirus disease 2019 (COVID-19) situation report - 94 . [Aug;2020 ];https://www.who.int/docs/default-source/coronaviruse/situation-reports/2... 2019
    1. COVID-19 dashboard by the Center for Systems Science and Engineering (CSSE) at Johns Hopkins University (JHU) [Aug;2020 ];https://coronavirus.jhu.edu/map.html 2020
    1. Extrapulmonary and atypical clinical presentations of COVID-19. [Epub ahead of print] Abobaker A, Raba AA, Alzwi A. J Med Virol. 2020 - PMC - PubMed
    1. Atypical presentation of novel coronavirus disease 2019 in a peritoneal dialysis patient. Bose S, Adapa S, Konala VM, et al. J Investig Med High Impact Case Rep. 2020;8:1–5. - PMC - PubMed
    1. Corona virus disease 2019 (COVID-19) presenting as acute ST elevation myocardial infarction. Siddamreddy S, Thotakura R, Dandu V, Kanuru S, Meegada S. Cureus. 2020;12:0. - PMC - PubMed

Publication types

LinkOut - more resources