Late biliary endoclip migration after laparoscopic cholecystectomy: Case report and literature review
- PMID: 32890898
- PMCID: PMC7481483
- DOI: 10.1016/j.ijscr.2020.08.027
Late biliary endoclip migration after laparoscopic cholecystectomy: Case report and literature review
Abstract
Introduction: Although formerly considered a rarity, biliary endoclip-related complications are being diagnosed with increasing frequencies. Among these, migration of endoclip into the common bile duct (CBD) is a rare encounter that usually presents in the first two years after surgery.
Presentation of case: This case demonstrates a late biliary endoclip migration after laparoscopic cholecystectomy.
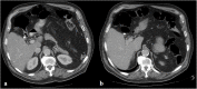
Discussion: An 82-year-old male patient, with a history of laparoscopic cholecystectomy 22 years ago, presented with two-day history of severe upper abdominal pain. Routine hemogram and serum chemistry were remarkable for slightly raised alanine aminotransferase and C-reactive protein. A computed tomographic (CT) scan demonstrated a new metallic density within the CBD when compared to a previous CT scan 14 months earlier. An endoscopic retrograde cholangiography confirmed a metal endoclip within the mid-CBD contained within a choledochal stone. Balloon extraction of the endoclip and stone was successfully performed. The patient was discharged 2 days later, and remained symptom free for 1 year.
Conclusion: To our knowledge, a latency of 22 years between cholecystectomy and clip migration has never been reported before. In cases of post-cholecystectomy abdominal pain the awareness of the surgeon should always be drawn to a clinical suspicion of endoclip migration into the CBD that can be easily remedied. Endoscopic biliary sphincterotomy with endoclip/stone removal is the therapeutic procedure of choice which usually circumvents the need for surgical extraction.
Keywords: Cholecystectomy; Endoclip; Laparoscopic; Migration.
Copyright © 2020 The Authors. Published by Elsevier Ltd.. All rights reserved.
Figures




References
-
- Cetta F., Baldi C., Lombardo F., Monti L., Stefani P., Nuzzo G. Migration of metallic clips used during laparoscopic cholecystectomy and formation of gallstones around them: surgical implications from a prospective study. J. Laparoendosc. Adv. Surg. Tech. A. 1997;7(1):37–46. - PubMed
-
- Chong V.H., Chong C.F. Biliary complications secondary to post-cholecystectomy clip migration: a review of 69 cases. J. Gastrointest. Surg. 2010;14(4):688–696. - PubMed
-
- Agha R.A., Borrelli M.R., Farwana R., Koshy K., Fowler A., Orgill D.P., for the SCARE Group The SCARE 2018 statement: updating consensus surgical CAse REport (SCARE) guidelines. Int. J. Surg. 2018;60:132–136. - PubMed
-
- Onghena T., Vereecken L., Van den Dwey K., Van Loon C. Common bile duct foreign body; an unusual case. Surg. Laparosc. Endosc. 1992;2(1):8–10. - PubMed
-
- Martinez J., Combs W., Brady P.G. Surgical clips as a nidus for biliary stone formation: diagnosis and therapy. Am. J. Gastroenterol. 1995;90(9):1521–1524. - PubMed
Publication types
LinkOut - more resources
Full Text Sources
Research Materials