The socket-shield technique: a critical literature review
- PMID: 32893327
- PMCID: PMC7475165
- DOI: 10.1186/s40729-020-00246-2
The socket-shield technique: a critical literature review
Abstract
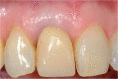
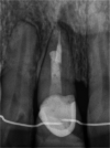
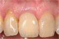
Introduction: Dental implants have become a standard treatment in the replacement of missing teeth. After tooth extraction and implant placement, resorption of buccal bundle bone can pose a significant complication with often very negative cosmetic impacts. Studies have shown that if the dental root remains in the alveolar process, bundle bone resorption is very minimal. However, to date, the deliberate retention of roots to preserve bone has not been routinely used in dental implantology.
Material and methods: This study aims to collect and evaluate the present knowledge with regard to the socket-shield technique as described by Hurzeler et al. (J Clin Periodontol 37(9):855-62, 2010). A PubMed database search ( www.ncbi.nlm.nih.gov/pubmed ) was conducted to identify relevant publication.
Results: The initial database search returned 229 results. After screening the abstracts, 13 articles were downloaded and further scrutinised. Twelve studies were found to meet the inclusion and exclusion criteria.
Conclusion: Whilst the socket-shield technique potentially offers promising outcomes, reducing the need for invasive bone grafts around implants in the aesthetic zone, clinical data to support this is very limited. The limited data available is compromised by a lack of well-designed prospective randomised controlled studies. The existing case reports are of very limited scientific value. Retrospective studies exist in limited numbers but are of inconsistent design. At this stage, it is unclear whether the socket-shield technique will provide a stable long-time outcome.
Keywords: Bone preservation; Dental implants; Partial extraction; Root submersion; Root-membrane; Socket-shield.
Conflict of interest statement
Dr. Christian Blachke and Dr. Donald Schwass declare no conflict of interest.
Figures














References
-
- Dary HA, Hadidi AA. The socket shield technique using bone trephine: a case report. Int J Dent Oral Sci. 2015:1–5.