Calcifying pseudoneoplasm of the neuraxis: A rare case involving the oculomotor nerve
- PMID: 32905291
- PMCID: PMC7468187
- DOI: 10.25259/SNI_386_2020
Calcifying pseudoneoplasm of the neuraxis: A rare case involving the oculomotor nerve
Abstract
Background: Calcifying pseudoneoplasm of the neuraxis (CAPNON) is a rare entity which can occur at intracranial and spinal locations. Clinical presentation is due to local mass effect rather than tissue infiltration. Lesions causing significant symptoms or are showing radiological progression require surgical resection. Maximal surgical resection is considered curative for this non-neoplastic entity with only two cases of recurrence reported in the literature. Cranial nerve involvement is extremely rare and the presenting neurological deficit is unlikely to improve even with surgical intervention.
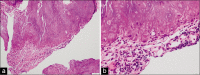
Case description: We describe a case of CAPNON at the right posterior clinoid process with involvement of the right oculomotor nerve in a 38-year-old male. Computed tomography demonstrated an amorphous mass which had intermediate to low T1 and T2 signal on magnetic resonance imaging. The oculomotor nerve was compressed with sign of atrophy. The patient underwent maximal surgical debulking for progressive symptoms of worsening pain and ophthalmoplegia. Postoperatively, the patient's symptoms were stable but did not improve.
Conclusion: Preoperative diagnosis of CAPNON is difficult due to its rarity and nonspecific clinical and radiological findings. Surgical resection is considered in cases with worsening symptoms, progression on serial imaging, or uncertain diagnosis. Relatively inaccessible lesions with little or no clinical symptoms can be observed.
Keywords: Calcified pseudotumor; Calcifying pseudoneoplasm of the neuraxis; Cranial nerve palsy; Skull base tumor.
Copyright: © 2020 Surgical Neurology International.
Conflict of interest statement
There are no conflicts of interest.
Figures




References
-
- Bertoni F, Unni KK, Dahlin DC, Beabout JW, Onofrio BM. Calcifying pseudoneoplasms of the neural axis. J Neurosurg. 1990;72:42–8. - PubMed
-
- Chang H, Park JB, Kim KW. Intraosseous calcifying pseudotumor of the axis: A case report. Spine (Phila Pa 1976) 2000;25:1036–9. - PubMed
-
- Fletcher AM, Greenlee JJ, Chang KE, Smoker WR, Kirby PA, O’Brien EK. Endoscopic resection of calcifying pseudoneoplasm of the neuraxis (CAPNON) of the anterior skull base with sinonasal extension. J Clin Neurosci. 2012;19:1048–9. - PubMed
-
- Garen PD, Powers JM, King JS, Perot PL Jr. Intracranial fibro-osseous lesion. Case report. J Neurosurg. 1989;70:475–7. - PubMed
Publication types
LinkOut - more resources
Full Text Sources