Skip to main page content
U.S. flag

An official website of the United States government

Dot gov

The .gov means it’s official.
Federal government websites often end in .gov or .mil. Before sharing sensitive information, make sure you’re on a federal government site.

Https

The site is secure.
The https:// ensures that you are connecting to the official website and that any information you provide is encrypted and transmitted securely.

Access keys NCBI Homepage MyNCBI Homepage Main Content Main Navigation
Case Reports
. 2020 May 28;3(5):166-169.
doi: 10.1002/iju5.12167. eCollection 2020 Sep.

Progressive plasmacytoid variant bladder cancer with retroperitoneal dissemination: An autopsy case report

Affiliations
Case Reports

Progressive plasmacytoid variant bladder cancer with retroperitoneal dissemination: An autopsy case report

Yuki Kohada et al. IJU Case Rep. .

Abstract

Introduction: Plasmacytoid urothelial carcinoma is a rare and aggressive variant of bladder cancer.

Case presentation: A 75-year-old woman presented with plasmacytoid urothelial carcinoma with retroperitoneal dissemination was treated with chemotherapy. After an unsuccessful first-line chemotherapy with gemcitabine and cisplatin, we assessed circulating tumor cells; one such cell was found to be positive for programmed death-ligand 1. The patient received second-line chemotherapy with pembrolizumab. However, the tumor extended to the retroperitoneal organs, and the patient eventually died. Autopsy revealed a widespread diffuse scirrhous infiltration of the carcinoma into the retroperitoneum. However, distant metastasis was not observed.

Conclusion: The evaluation of circulating tumor cells and autopsy revealed a disease state of progressive plasmacytoid urothelial carcinoma treated with pembrolizumab.

Keywords: autopsy; circulating tumor cell; pembrolizumab; plasmacytoid urothelial carcinoma; urinary bladder neoplasm.

PubMed Disclaimer

Conflict of interest statement

The authors declare no conflict of interest.

Figures

Fig. 1
Fig. 1
CT scan findings of the current case. (a) Ill‐defined soft tissues spread into the pelvis (arrows), which indicated retroperitoneal dissemination. (b) Diffuse thickening was observed in the bladder and rectum wall (arrows).
Fig. 2
Fig. 2
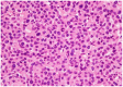
Histological findings of the current case. The tumor cells were discohesive with eccentrically located nuclei and abundant eosinophilic cytoplasm.
Fig. 3
Fig. 3
CTCs were observed in 7.5 mL of blood using the Celsee system in the current case. (a) The CTC at the bright field. (b) The CTC was immunohistochemically positive for PD‐L1 antibody.
Fig. 4
Fig. 4
Autopsy findings of the current case. (a) The primary tumor involved the whole urinary bladder and directly invaded the anterior wall of the uterus and diffusely infiltrated into the whole myometrium of the uterus. (b) The tumor cells were immunohistologically positive for HER2.

References

    1. Keck B, Stoehr R, Wach S et al The plasmacytoid carcinoma of the bladder–rare variant of aggressive urothelial carcinoma. Int. J. Cancer 2011; 129: 346–54. - PubMed
    1. Dayyani F, Czerniak BA, Sircar K et al Plasmacytoid urothelial carcinoma, a chemosensitive cancer with poor prognosis, and peritoneal carcinomatosis. J. Urol. 2013; 189: 1656–61. - PMC - PubMed
    1. Fox MD, Xiao L, Zhang M et al Plasmacytoid urothelial carcinoma of the urinary bladder: a clinicopathologic and immunohistochemical analysis of 49 cases. Am. J. Clin. Pathol. 2017; 147: 500–6. - PubMed
    1. Chung AD, Schieda N, Flood TA et al Plasmacytoid urothelial carcinoma (PUC): imaging features with histopathological correlation. Can. Urol. Assoc. J. 2017; 11: 50–7. - PMC - PubMed
    1. Sahin AA, Myhre M, Ro JY, Sneige N, Dekmezian RH, Ayala AG. Plasmacytoid transitional cell carcinoma. Report of a case with initial presentation mimicking multiple myeloma. Acta Cytol. 1991; 35: 277–80. - PubMed

Publication types