Primary glomus tumour of the pituitary gland: diagnostic challenges of a rare and potentially aggressive neoplasm
- PMID: 32918169
- PMCID: PMC8099815
- DOI: 10.1007/s00428-020-02923-4
Primary glomus tumour of the pituitary gland: diagnostic challenges of a rare and potentially aggressive neoplasm
Abstract
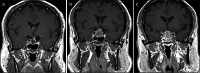
Primary non-neuroendocrine tumours of the pituitary gland and sella are rare lesions often challenging to diagnose. We describe two cases of clinically aggressive primary glomus tumour of the pituitary gland. The lesions occurred in a 63-year-old male and a 30-year-old female who presented with headache, blurred vision and hypopituitarism. Neuroimaging demonstrated large sellar and suprasellar tumours invading the surrounding structures. Histologically, the lesions were characterised by angiocentric sheets and nests of atypical cells that expressed vimentin, smooth muscle actin and CD34. Perivascular deposition of collagen IV was also a feature. Case 2 expressed synaptophysin. INI-1 (SMARCB1) expression was preserved. Both lesions were mitotically active and demonstrated a Ki-67 labelling index of 30%. Next-generation sequencing performed in case 1 showed no mutations in the reading frame of 37 commonly mutated oncogenes, including BRAF and KRAS. Four pituitary glomus tumours have previously been reported, none of which showed features of malignant glomus tumour. Similar to our two patients, three previous examples displayed aggressive behaviour.
Keywords: Glomus tumour; Malignant; Non-neuroendocrine tumour; Pituitary gland; Sella.
Conflict of interest statement
The authors declare no conflicts of interest.
Figures




References
Publication types
MeSH terms
Substances
LinkOut - more resources
Full Text Sources
Medical
Research Materials
Miscellaneous