Platypnea-orthodeoxia after fibrotic evolution of SARS-CoV-2 interstitial pneumonia. A case report
- PMID: 32921749
- PMCID: PMC7716968
- DOI: 10.23750/abm.v91i3.10386
Platypnea-orthodeoxia after fibrotic evolution of SARS-CoV-2 interstitial pneumonia. A case report
Abstract
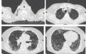
Platypnea-orthodeoxia syndrome (POS) is a clinical entity characterized by positional dyspnoea (platypnea) and arterial desaturation (orthodeoxia) that occurs when sitting or standing up and usually resolves by lying down. POS may result from some cardiopulmonary disorders or from other miscellaneous aetiologies. We report a case of POS in a patient after fibrotic evolution of SARS-CoV-2 interstitial pneumonia associated with pulmonary embolism. The patient did not have any evidence of an intracardiac/intrapulmonary shunt.
Conflict of interest statement
Each author declares that he or she has no commercial associations (e.g. consultancies, stock ownership, equity interest, patent/licensing arrangement etc.) that might pose a conflict of interest in connection with the submitted article
Figures





Comment in
-
On the case report of Platypnea-orthodeoxia after SARSCoV-2 pneumonia plus historical notes.Acta Biomed. 2020 Dec 11;91(4):e2020139. doi: 10.23750/abm.v91i4.10881. Acta Biomed. 2020. PMID: 33525308 Free PMC article.
References
-
- Agrawal A, Palkar A, Talwar A. The multiple dimensions of Platypnea-Orthodeoxia syndrome: A review. Respir Med. 2017;129:31–38. - PubMed
-
- Charan NB, Thompson WH, Carvalho P. Functional anatomy of bronchial veins. Pulm Pharmacol Ther. 2007;20:100–103. - PubMed
-
- De Vecchis R, Baldi C, Ariano C, et al. Platypnea-orthodeoxia syndrome: Orthostatic dyspnea and possible pathophysiological substrates. Herz. 2017;42(4):384–389. - PubMed
-
- Rodrigues P, Palma P, Sousa-Pereira L. Platypnea-orthodeoxia syndrome in review: defining a new disease? Cardiology. 2012;123(1):15–23. - PubMed
Publication types
MeSH terms
LinkOut - more resources
Full Text Sources
Medical
Miscellaneous