Non-traumatic complications of a solitary rib osteochondroma; an unusual cause of hemoptysis and pneumothorax
- PMID: 32922844
- PMCID: PMC7465744
- DOI: 10.1259/bjrcr.20200015
Non-traumatic complications of a solitary rib osteochondroma; an unusual cause of hemoptysis and pneumothorax
Abstract
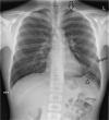
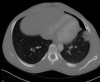
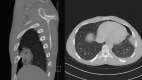
Osteochondromas are a very common and usually asymptomatic entity which may originate anywhere in the appendicular and axial skeleton. However, the ribs are a rare site of origin and here they may prove symptomatic for mechanical reasons. In this case report, we describe an unusual case of a symptomatic osteochondroma of the rib secondary to its location and unique shape, ultimately requiring surgical intervention.
© 2020 The Authors. Published by the British Institute of Radiology.
Figures
 
              
              
              
              
                
                
                 
              
              
              
              
                
                
                 
              
              
              
              
                
                
                 
              
              
              
              
                
                
                 
              
              
              
              
                
                
                 
              
              
              
              
                
                
                References
- 
    - Kitsoulis P, Galani V, Stefanaki K, Paraskevas G, Karatzias G, Agnantis NJ, et al. . Osteochondromas: review of the clinical, radiological and pathological features. In Vivo 2008; 22: 633–46. - PubMed
 
- 
    - Limeme M, Mazhoud I, Zaghouani H, Laaribi M, Majdoub S, Amara H, et al. . Imaging of primary chest wall tumors. EPOS ECR, 2015 March 04-08; Vienna. Austria European Society of Radiology 2015;.
 
Publication types
LinkOut - more resources
- Full Text Sources
 
        