Malakoplakia, a malignant mimic
- PMID: 32934968
- PMCID: PMC7483825
- DOI: 10.14440/bladder.2020.818
Malakoplakia, a malignant mimic
Abstract
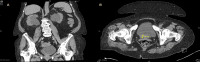
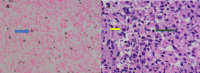
Malakoplakia is a chronic inflammatory condition that affects multiple systems, most commonly the urogenital tract. Its clinical presentation is often non-specific, but is typically characterized by recurrent urinary tract infections and haematuria. We report a rare case of intravesical malakoplakia mimicking an aggressive transitional cell carcinoma both in its clinical presentation and in its macroscopic appearance on cystoscopy in an 82-year patient, the oldest reported case in the literature. Malakoplakia has been described in the literature as a benign disease process presenting typically in younger patients. This case demonstrates its ability to cause obstructive uropathy and affect elderly patients. Thus, this case serves as a reminder to consider malakoplakia as a differential in the evaluation of suspected bladder malignancy in patients of all ages.
Keywords: malakoplakia; obstructive uropathy; transitional cell carcinoma.
© 2013-2020, Bladder, All rights reserved.
Conflict of interest statement
Competing interests: The authors are not current recipients of a research scholarship. The paper is not based on a previous communication to a society/meeting.
Figures



References
-
- Gupta R, Mahajan A, Atri S, Gupta CL. (2013) Recurrent painless hematuria secondary to malacoplakia of the urinary bladder: a case report and review of literature. Urol J 10: 821-823. PMID: - PubMed
-
- Christensen M, Knuhtsen S, Knudsen E. (2011) Colonic malacoplakia treated with sulfamethizole and trimethoprim. Ugeskr Laeger 173: 509-510. PMID: - PubMed
Publication types
LinkOut - more resources
Full Text Sources