Myocarditis associated with campylobacter jejuni colitis: a case report
- PMID: 32952843
- PMCID: PMC7467620
- DOI: 10.11604/pamj.2020.36.199.23370
Myocarditis associated with campylobacter jejuni colitis: a case report
Abstract
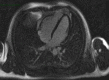
Myocarditis is a rare complication of acute diarrhea due to Campylobacter Jejuni infection. We present the case of 25-year-old male who presented with campylobacter jejuni colitis who subsequently had chest pain and elevated cardiac biomarkers. The patient developed acute myocarditis confirmed on cardiac magnetic resonance imaging.
Keywords: Campylobacter jejuni; colitis; myocarditis.
Copyright: Oussama Daboussi et al.
Conflict of interest statement
The authors declare no competing interest.
Figures


References
-
- Pena LA, Fishbein MC. Fatal myocarditis related to Campylobacte jejuni infection: a case report. Cardiovasc Pathol. 2007 Mar-Apr;16(2):119–21. - PubMed
-
- Baroldi G. First the egg or the chicken? G Ital Cardiol. 1998;28:1043–4. - PubMed
-
- Howlett J, McKelvie R, Arnold JM, Costigan J, Dorian P, Ducharme A, et al. Canadian Cardiovascular Society Consensus Conference guidelines on heart failure, update 2009: diagnosis and management of rightsided heart failure, myocarditis, device therapy and recent important clinical trials. Can J Cardiol. 2009 Feb;25(2):85–105. - PMC - PubMed
-
- Friedrich MG, Strohm O, Schulz-Menger J, Marciniak H, Luft FC, Dietz R. Contrast media-enhanced magnetic resonance imaging visualizes myocardial changes in the course of viral myocarditis. Circulation. 1998 May 12;97(18):1802–9. - PubMed
Publication types
MeSH terms
Substances
LinkOut - more resources
Full Text Sources
Medical