Skip to main page content
U.S. flag

An official website of the United States government

Dot gov

The .gov means it’s official.
Federal government websites often end in .gov or .mil. Before sharing sensitive information, make sure you’re on a federal government site.

Https

The site is secure.
The https:// ensures that you are connecting to the official website and that any information you provide is encrypted and transmitted securely.

Access keys NCBI Homepage MyNCBI Homepage Main Content Main Navigation
Case Reports
. 2020 Jun 15;2(8):acmi000137.
doi: 10.1099/acmi.0.000137. eCollection 2020.

Clostridium ramosum rapidly identified by MALDI-TOF MS. A rare gram-variable agent of bacteraemia

Affiliations
Case Reports

Clostridium ramosum rapidly identified by MALDI-TOF MS. A rare gram-variable agent of bacteraemia

M C Legaria et al. Access Microbiol. .

Abstract

Clostridium ramosum is an enteric anaerobic, endospore-forming, gram-positive rod with a low GC content that is rarely associated with disease in humans. We present a case of C. ramosum bacteraemia. To the best of our knowledge, this is the second case of C. ramosum bacteraemia in an elderly patient presenting with fever, abdominal pain and bilious emesis. We highlight the Gram stain variability, the lack of visualization of spores and the atypical morphology of the colonies that showed C. ramosum in a polymicrobial presentation that initially appeared to show monomicrobial bacteraemia. The microorganism was rapidly identified by matrix-assisted laser desorption/ionization time-of-flight mass spectrometry (MALDI-TOF MS). We present a comprehensive literature review of 32 cases of clinical infections by C. ramosum in which we describe, if available, sex, age, clinical symptoms, predisposing conditions, other organisms present in the blood culture, other samples with C. ramosum , identification methodology, treatment and outcome.

Keywords: Antimicrobial susceptibility; Bacteraemia; Clostridium ramosum; Erysipelatoclostridium ramosum; Infection; MALDI-TOF MS.

PubMed Disclaimer

Conflict of interest statement

The authors declare that there are no conflicts of interest.

Figures

Fig. 1.
Fig. 1.
C. ramosum colonies on Brucella blood agar.
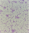
Fig. 2.
Fig. 2.
C. ramosum Gram stain.

References

    1. Holdeman LV, Cato EP, Moore WEC. Clostridium ramosum (Vuillemin) comb. nov.: emended description and proposed neotype strain. Int J Syst Bacteriol. 1971;21:35–39. doi: 10.1099/00207713-21-1-35. - DOI
    1. Yutin N, Galperin MY. A genomic update on clostridial phylogeny: gram-negative spore-formers and other misplaced clostridia. Environ Microbiol. 2013;15:2631–2641. - PMC - PubMed
    1. Alexander CJ, Citron DM, Brazier JS, Goldstein EJ. Identification and antimicrobial resistance patterns of clinical isolates of Clostridium clostridioforme, Clostridium innocuum, and Clostridium ramosum compared with those of clinical isolates of Clostridium perfringens. J Clin Microbiol. 1995;33:3209–3215. doi: 10.1128/JCM.33.12.3209-3215.1995. - DOI - PMC - PubMed
    1. Bodey GP, Rodriguez S, Fainstein V, Elting LS. Clostridial bacteremia in cancer patients. A 12-year experience. Cancer. 1991;67:1928–1942. doi: 10.1002/1097-0142(19910401)67:7<1928::AID-CNCR2820670718>3.0.CO;2-9. - DOI - PubMed
    1. Blairon L, De Gheldre Y, Delaere B, Sonet A, Bosly A, et al. A 62-month retrospective epidemiological survey of anaerobic bacteraemia in a university hospital. Clin Microbiol Infect. 2006;12:527–532. doi: 10.1111/j.1469-0691.2006.01407.x. - DOI - PubMed

Publication types

LinkOut - more resources